PathoPic – image database / PathoPic ID 5045 - Nicht invasives papilläres Urothelkarzinom pTa

de
Grad
Diagnose
Nicht invasives papilläres Urothelkarzinom pTa
Diagnose Gruppe
maligner Tumor
Topographie
Harnblase
Topographie Gruppe
Niere, Harnwege
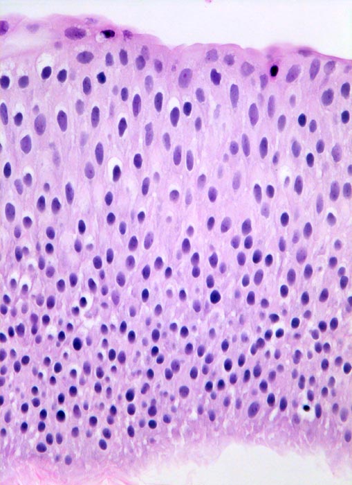
Beschreibung
Das bedeckende Urothel des papillären Tumors ist deutlich verbreitert. Zellatypien sind nicht vorhanden (histologischer Grad 1).
Klinik
Die zystoskopische Abklärung einer Makrohämaturie ergab einen papillären Tumor an der Blasenhinterwand. Der Tumor wird transurethral reseziert.
Kommentar
Normales Urothel umfasst in der Regel weniger als 7 Zellagen.
Bilder Typ
Histologie
Vergrösserung
320
Alter
53
Geschlecht
männlich
Datum
Ersteintrag: 05.07.2002
Update: 16.04.2009