PathoPic – image database / PathoPic ID 4199 - normales Urothel

de
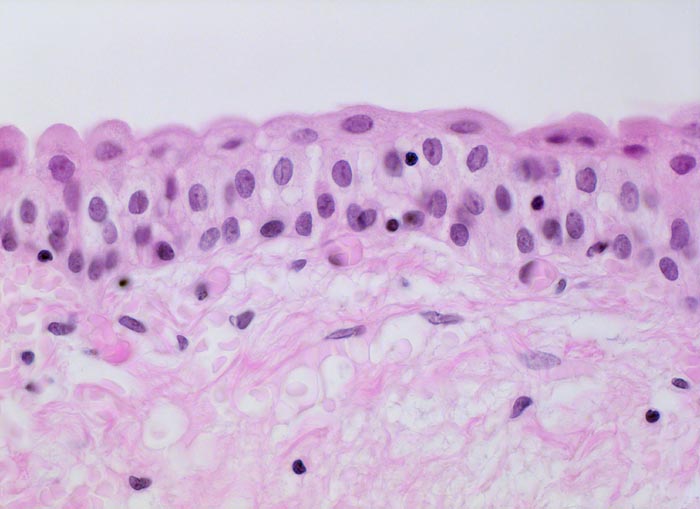
Diagnose
normales Urothel
Diagnose Gruppe
Normalbefund
Topographie
Ureter
Topographie Gruppe
Niere, Harnwege
Beschreibung
Regelmässig geschichtetes mehrreihiges Urothel ohne Atypien. Das Epithel wird luminalwärts abgeschlossen durch die etwas dunkler gefärbte Deckzellschicht mit horizontal ausgerichteten Kernen. Einzelne intramucosale Lymphozyten (gehören zum Mucosa-assoziierten lymphatischen System). Lockere Submukosa mit vereinzelten Entzündungszellen.
Bilder Typ
Histologie
Vergrösserung
400
Alter
54
Geschlecht
männlich
Datum
Ersteintrag: 05.03.2002