AP/ Papilläres Schilddrüsenkarzinom

Diagnose
Papilläres Schilddrüsenkarzinom
Diagnose Gruppe
maligner Tumor
Topographie Gruppe
Endokrinium
Topographie
Schilddrüse
Einleitung
Subtypen von Schilddrüsentumoren:
Das papilläre Schilddrüsenkarzinom gehört wie das follikuläre Schilddrüsenkarzinom zu den differenzierten, von den Follikelzellen ausgehenden malignen Tumoren der Schilddrüse mit papillärem und/oder follikulärem Wachstumsmuster. Die differenzierten papillären Schilddrüsenkarzinome werden nicht gegradet. Es existieren aber zahlreiche histologische Varianten mit unterschiedlicher Prognose. Während die Diagnose eines minimal oder grob invasiven follikulären Schilddrüsenkarzinoms auf dem Nachweis von Kapseldurchbrüchen oder Gefässeinbrüchen basiert, beruht die Diagnose der verschiedenen Subtypen des papillären Schilddrüsenkarzinoms ausschliesslich auf den für papilläre Karzinome charakteristischen Kernveränderungen (vergrösserte Zellkerne, dachziegelartiges Überlappen der Kerne, Milchglaskerne, Kerneinkerbungen, Eindellungen der Kernmembran, intranukleäre Zytoplasmaeinschlüsse, kleine Nukleolen). Der Nachweis dieser Kernmerkmale erlaubt auch eine zuverlässige Diagnose des papillären Schilddrüsenkarzinoms in der präoperativen Feinnadel-Aspirationszytologie. Differentialdiagnosen:
Gering differenzierte Schilddrüsenkarzinome werden diagnostiziert gemäss den Turin-Kriterien (charakteristisches Wachstumsmuster, fehlende Kernkriterien eines papillären Karzinoms, Mitosen oder Nekrosen). Die Prognose der gering differenzierten Schilddrüsenkarzinome ist schlechter als die Prognose der differenzierten Karzinome (papilläres oder follikuläres Schilddrüsenkarzinom) aber besser als die Prognose der anaplastischen Schilddrüsenkarzinome. Papilläre Schildrüsenkarzinome vom follikulären Typ unterscheiden sich vom follikulären Schilddrüsenkarzinom durch den zytologischen Nachweis von Kernmerkmalen eines papillären Karzinoms. Nicht-invasive follikuläre Schilddrüsenneoplasien mit Kernmerkmalen eines papillären Karzinoms (NIFTP) haben ein extrem niedriges Malignitätspotential. Diese Tumoren werden deshalb gemäss WHO Klassifikation 2017 nicht mehr als Varianten papillärer Schilddrüsenkarzinome aufgeführt, sondern als Tumoren mit unsicherem Malignitätspotential.

Morphologie:
Die papillären Karzinome messen bei Diagnosestellung durchschnittlich 2.3cm und sind in bis zu drei Vierteln der Fälle multifokal. Makroskopisch sind die Tumoren blass, derb und unscharf begrenzt. Eine Kapsel liegt nur in 10% der Fälle vor. Papilläre Mikrokarzinome messen definitionsgemäss weniger als 1cm im Durchmesser und stellen häufige Zufallsbefunde in Strumektomien dar. Solche zufällig detektierten Mikrokarzinome haben bei Fehlen von histologischen Risikomerkmalen keinen Krankheitswert. Makroskopisch präsentieren sich Mikrokarzinome oft als grauweisse Narben.
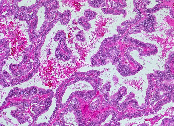
Histologisch finden sich bei der klassischen Variante des papillären Schilddrüsenkarzinoms verzweigte Papillen mit einem zentralen fibrovaskulären Stiel und/oder Follikel, welche von Zellen mit den morphologischen Charakteristika eines papillären Karzinoms ausgekleidet sind. In der Hälfte der Fälle können Verkalkungen in Form von Psammomkörperchen nachgewiesen werden. Bei der follikulären Variante des papillären Karzinoms bilden die Tumorzellen Follikel. Die neoplastischen Follikel sind von Zellen mit der typischen Morphologie des papillären Karzinoms (gekerbte Kerne mit aufgelockertem Chromatin und intranukleäre Vakuolen (> 5425)) ausgekleidet. Daneben existieren verschiedene weitere histologische Subtypen des papillären Karzinoms: kolumnarzellige Variante (columnar cell), großzellige Variante (tall cell), diffuse sklerosierende Variante, onkozytäre Variante, und solide Variante. Kombinationen dieser Subtypen kommen vor. Die diffuse sklerosierende Variante (2% der Fälle), welche bei jüngeren Patienten auftritt, kann eine Struma ohne palpable Knoten ausbilden und klinisch mit einer Autoimmunthyreoiditis verwechselt werden.

Verlauf:
Papilläre Karzinome metastasieren vor allem und häufig lymphogen (in die Lymphknoten, 46-90%). Gefässeinbrüche und Fernmetastasen in Lungen und Knochen sind selten (> 3810).

Anmerkung:
Entscheidend für die histologische Diagnose eines papillären Schilddrüsenkarzinoms ist die typische Morphologie der Tumorzellkerne. Papilläre Strukturen sind nicht in jedem Fall vorhanden und fehlen per definitionem beim follikulären Subtyp des papillären Schilddrüsenkarzinoms.

update 8. August 2017
Klinik
Vorkommen:
Die papillären Schilddrüsenkarzinome machen rund 80% der Schilddrüsenkarzinome aus. Die betroffenen Patientinnen und Patienten sind meist zwischen 20-50 Jahre alt. Bei den klinisch manifesten Karzinomen überwiegen die Frauen in einem Verhältnis von 3:1. Bei Kindern und autoptisch diagnostizierten Karzinomen ist das Geschlechtsverhältnis ausgeglichen. In den letzten zwei Jahrzehnten hat die Inzidenz aber nicht die Mortalität der papillären Schilddrüsenkarzinome stark zugenommen. Die Inzidenzzunahme biologisch irrelevanter papillärer Schilddrüsenkarzinome wird hauptsächlich erklärt durch den vermehrten Einsatz bildgebender Verfahren im Kopf-Hals Bereich (CT, PET-CT, MRI, hochauflösende Sonographie) und die Abklärung der mittels Bildgebung zufällig detektierten Schilddrüsenknoten mittels Feinnadel-Aspirationszytologie. Mikroskopisch kleine papilläre Karzinome lassen sich autoptisch in etwa 10% (!) aller Schilddrüsen nachweisen.

Symptomatik:
Am häufigsten präsentiert sich das Karzinom als schmerzloser palpabler Knoten. Palpable Schilddrüsenknoten sind bei 7% aller Frauen vorhanden. Nur 5-12% dieser Knoten sind maligne, bei multiplen Knoten sogar lediglich 3%. Da auch kleine papilläre Karzinome nicht selten lymphogen metastasieren, wird die primäre Diagnose des papillären Schilddrüsenkarzinoms gelegentlich anhand vergrösserter Halslymphknoten gestellt.

Diagnostik:
Jeder Schilddrüsenknoten über 1.5cm Durchmesser sollte punktiert werden. Kleinere Knoten werden nur bei zusätzlichen Risikofaktoren punktiert. Die Feinnadelaspirationszytologie erlaubt in über 90% der papillären Karzinome eine korrekte präoperative Diagnosestellung genügend Zellmaterial vorausgesetzt. Die Ergebnisse der Feinnadelpunktion werden nach dem Bethesda-System in 6 Kategorien eingeteilt. Die Bethesda-Kategorie bestimmt das weitere diagnostische und/oder therapeutische Vorgehen. Der Serum-Thyreoglobulinwert kann als postoperativer Tumormarker eingesetzt werden. Patienten mit papillären Karzinomen können basierend auf prognostischen Faktoren in Risikokategorien eingeteilt werden. Diese Faktoren beinhalten Alter, Fernmetastasen, Invasion des extrathyroidalen Weichteilgewebes, Grösse des Primärtumors und Ausmass von soliden Anteilen.

Therapie:
Bei Diagnose eines papillären Schilddrüsenkarzinoms in einer Hemithyreoidektomie wird eine totale Thyreoidektomie angeschlossen und bei Vorhandensein bestimmter Risikofaktoren zusätzlich eine Radiojodtherapie. Bei zufällig detektiertem papillärem Mikrokarzinom ohne histologische und klinische Risikofaktoren in einer Hemithyreoidektomie ist keine zusätzliche Therapie notwendig.

Prognose:
Rund 30% der Patienten erleiden ein Tumorrezidiv meist innerhalb der ersten 5 Jahre nach Diagnosestellung. Sowohl das papilläre als auch das follikuläre Schilddrüsenkarzinom haben aber eine sehr gute Prognose mit einer Gesamtmortalität von weniger als 10%. Die Prognose ist insgesamt besser bei Frauen. Papilläre Mikrokarzinome (< 1 cm) ohne klinische und histologische Risikofaktoren und vollständig gekapselte papilläre Karzinome ohne Kapseldurchbrüche zeigen eine praktisch 100%-ige Langzeitüberlebensrate. Die kolumnarzellige, die großzellige und die diffus sklerosierende Variante des papillären Schilddrüsenkarzinoms haben eine schlechtere Prognose.

update 20. August 2016
Morphologie
Morphologische Befunde:
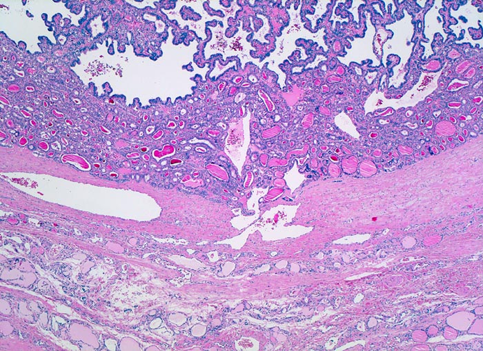
  • Scharf begrenzter Tumor mit schmaler Kapsel.
  • Links im Bild sind Reste von nicht neoplastischem Schilddrüsenparenchym sichtbar.
  • Der Tumor besteht aus Papillen mit einem fibrovaskulären Stromastiel und neoplastischen Follikeln.
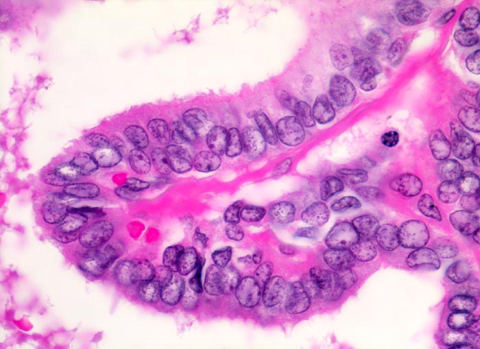
  • Dicht gelagerte, einander überlappende Tumorzellen mit der typischen Zytomorphologie des papillären Karzinoms:
    • Vergrösserte Zellkerne (im Vergleich zu den Zellkernen der nicht neoplastischen Follikelepithelien)
    • Zellkerne mit zentraler Aufhellung des Chromatins (Milchglaskerne).
    • Kernkerben (Grooves).
    • Eindellungen der Kernmembran.
    • Kleiner Nukleolus.
Das sollte der Kliniker dem Pathologen mitteilen:
  • Sonographischer und szintigraphischer Befund.
  • Zytologischer Vorbefund.
  • Schilddrüsenfunktion.
Praxis-Tipp zur intraoperativen Schnellschnittuntersuchung:
  • Falls zytologisch ein papilläres Karzinom diagnostiziert wurde, ist wegen der hohen Sensitivität und Spezifität dieser zytologischen Diagnose eine intraoperative Schnellschnittuntersuchung in der Regel nicht indiziert. Bei zytologischer Diagnose einer follikulären Neoplasie ist eine Schnellschnittuntersuchung ebenfalls nicht indiziert, da die Unterscheidung eines follikulären Karzinoms und eines follikulären Adenoms der Schilddrüse nur am fixierten Material verlässlich möglich ist (Nachweis von Kapseldurchbrüchen oder Gefässeinbrüchen).
  • Falls zytologisch lediglich ein Verdacht auf ein papilläres Karzinom geäussert wurde, kann als Alternative zur Schnellschnittuntersuchung eine intraoperative Schnellzytologie durchgeführt werden. Präparat frisch einsenden.
  • Makroskopischer Malignitätsverdacht.
  • Auch ohne einen die Schilddrüse betreffenden Malignitätsverdacht sollte jeder bei einer Schilddrüsenoperation intraoperativ auffällige oder vergrösserte Lymphknoten im Schnellschnitt untersucht werden.


update 20. August 2016
Makroskopie
Befund
Pathologischer Befund
Normalbefund
Datum
Ersteintrag: 02.09.2019
Update: 02.09.2019