Pathopic
HiPaKu
ZyPaKu
PathoBasic
PathoBasic Cytology
Quizzes
Projektinfos
PathoPic - Projekt- und Copyright-Info
About
Pathopic
HiPaKu
ZyPaKu
PathoBasic
PathoBasic Cytology
Quizzes
PathoPic – image database
/
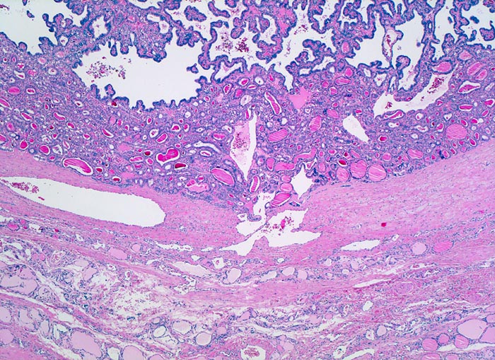
PathoPic ID 4735 - papilläres Schilddrüsenkarzinom
de
Diagnose
papilläres Schilddrüsenkarzinom
Diagnose Gruppe
maligner Tumor
Topographie
Schilddrüse
Topographie Gruppe
Endokrinium
Beschreibung
Bindegewebige
Kapsel zwischen Karzinom und
atrophem Parenchym. Das Karzinom bildet
Follikel und
papilläre Strukturen.
Klinik
In der Feinnadelpunktion eines 2cm grossen kalten Knotens werden Karzinomzellen nachgewiesen vereinbar mit einem papillären Schilddrüsenkarzinom.
Kommentar
Nur etwa 10% der papillären Karzinome sind vollständig bekapselt. Die bekapselten Tumoren haben eine bessere Prognose.
Bilder Typ
Histologie
Vergrösserung
25
Alter
46
Geschlecht
unbekannt
Datum
Ersteintrag: 06.05.2002
CPS
·
©
2024 Institut für Pathologie Basel
/
Dr. med. Katharina Glatz-Krieger
.
·
v2.1