PathoPic – image database / PathoPic ID 4737 - papilläres Schilddrüsenkarzinom

de
Diagnose
papilläres Schilddrüsenkarzinom
Diagnose Gruppe
maligner Tumor
Topographie
Schilddrüse
Topographie Gruppe
Endokrinium
Beschreibung
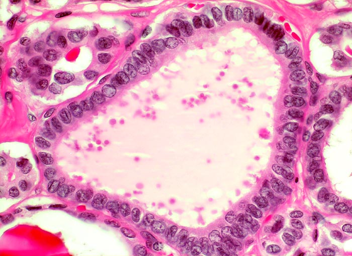
Follikuläres Tumorareal: die Follikel sind ausgekleidet durch dicht gelagerte Zellen mit der typischen Morphologie des papillären Karzinoms. Die randliche Verdichtung und zentrale Aufhellung des Chromatins verleiht einigen Kernen den typischen Milchglasaspekt. Andere Kerne weisen eine Kerbe (=Groove) und gleichen dadurch Kaffeebohnen.
Klinik
In der Feinnadelpunktion eines 2cm grossen kalten Knotens werden Karzinomzellen nachgewiesen vereinbar mit einem papillären Schilddrüsenkarzinom.
Kommentar
Die Diagnose eines papillären Karzinoms basiert in erster Linie auf der typischen Morphologie der Tumorzellen. Ein papilläres Karzinom kann bei typischer Zellmorphologie auch in Abwesenheit von Papillen gestellt werden (=Papilläres Karzinom, follikuläre Variante).
Bilder Typ
Histologie
Vergrösserung
400
Alter
46
Geschlecht
unbekannt
Datum
Ersteintrag: 06.05.2002