PathoPic – image database / PathoPic ID 3810 - papilläres Schilddrüsenkarzinom diffus sklerosierende Variante

de
Diagnose
papilläres Schilddrüsenkarzinom diffus sklerosierende Variante
Diagnose Gruppe
maligner Tumor
Topographie
Schilddrüse
Topographie Gruppe
Endokrinium
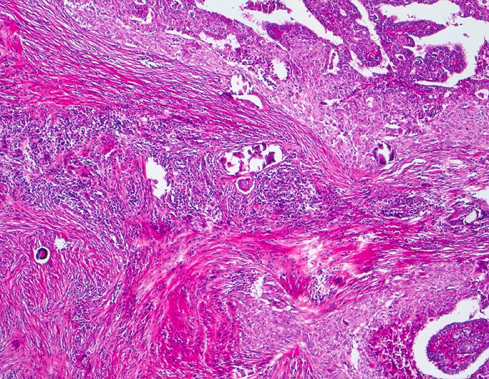
Beschreibung
Infiltration der Schilddrüse durch ein papilläres Karzinom mit teils epidermoider Architektur. Auffällige Stromasklerose mit lymphozytärem Entzündungsinfiltrat. Zahlreiche Psammomkörperchen.
Zusatzbefund
Multiple kalte Knoten in druckdolenter Struma.
Kommentar
Das diffus sklerosierende papilläre Karzinom ist gekennzeichnet durch eine diffuse Infiltration der gesamten Schilddrüse mit Lymphangiosis carcinomatosa begleitet von einer deutlichen Sklerose und chronischen Entzündung. Dieser Tumortyp tritt bevorzugt bei jüngeren Patienten auf und hat eine schlechte Prognose. Plattenepithelmetaplasien treten in bis zu 7% der Schilddrüsenkarzinome auf.
Bilder Typ
Histologie
Vergrösserung
50
Alter
35
Geschlecht
unbekannt
Datum
Ersteintrag: 31.12.2001