PathoPic – image database / PathoPic ID 4836 - Schilddrüsenadenom mit frischer Einblutung

de
Diagnose
Schilddrüsenadenom mit frischer Einblutung
Diagnose Gruppe
benigner Tumor
Topographie
Schilddrüse
Topographie Gruppe
Endokrinium
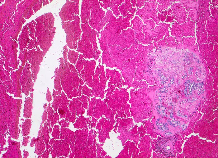
Beschreibung
Insel von mikrofollikulärem Schilddrüsenparenchym umgeben von Frischblut.
Klinik
Die 52-jährige Patientin gibt an, in letzter Zeit vermehrt Herzpalpitationen verspürt zu haben. Zusätzlich sei ihr aufgefallen, dass sie nervöser geworden sei, teilweise sogar aggressiv. Sie stellte eine ungewollte Gewichtsabnahme fest.
In der insgesamt eher verkleinerten Schilddrüse ist ein solitärer nicht schmerzhafter Knoten palpabel. Sonographisch kann der klinische Befund bestätigt werden. Die Szintigraphie ergibt eine vermehrte Speicherung von 123-Iodid im Knoten. Freise T3 und T4 sind erhöht, das TSH ist erniedrigt.
Bilder Typ
Histologie
Vergrösserung
50
Alter
52
Geschlecht
unbekannt
Datum
Ersteintrag: 09.05.2002