PathoPic – image database / PathoPic ID 4835 - autonomes Adenom

de
Diagnose
autonomes Adenom
Diagnose Gruppe
benigner Tumor
Topographie
Schilddrüse
Topographie Gruppe
Endokrinium
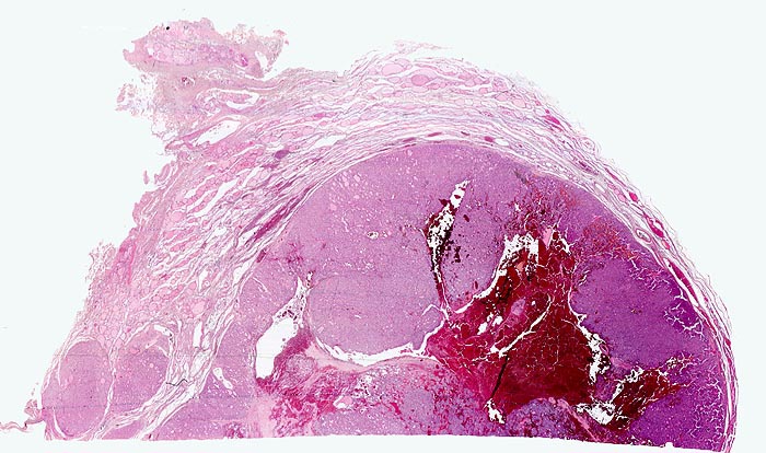
Beschreibung
Scharf begrenzter basophiler Knoten mit angedeuteter Kapsel und zentraler frischer Einblutung. Der Knoten komprimiert das angrenzende Schilddrüsenparenchym. Innerhalb des Knotens sind gar keine oder nur sehr kleine Follikellumina erkennbar. Zwei kleine Knoten mit ähnlicher Morphologie liegen unmittelbar neben dem grossen Knoten.
Klinik
Die 52-jährige Patientin gibt an, in letzter Zeit vermehrt Herzpalpationen verspürt zu haben. Zusätzlich sei ihr aufgefallen, dass sie nervöser geworden sei, teilweise sogar aggressiv. Sie stellte eine ungewollte Gewichtsabnahme fest.
In der insgesamt eher verkleinerten Schilddrüse ist ein solitärer nicht schmerzhafter Knoten palpabel. Sonographisch kann der klinische Befund bestätigt werden. Die Szintigraphie ergibt eine vermehrte Speicherung von 123-Iodid im Knoten. Freise T3 und T4 sind erhöht, das TSH ist erniedrigt.
Bilder Typ
Histologie
Vergrösserung
Scan
Alter
52
Geschlecht
unbekannt
Datum
Ersteintrag: 09.05.2002