ETHZ spez/ Infektiöse Mononukleose

Diagnose
Infektiöse Mononukleose
Diagnose Gruppe
Entzündung infektiös
Topographie Gruppe
Lymphatische Gewebe, KM, Milz
Topographie
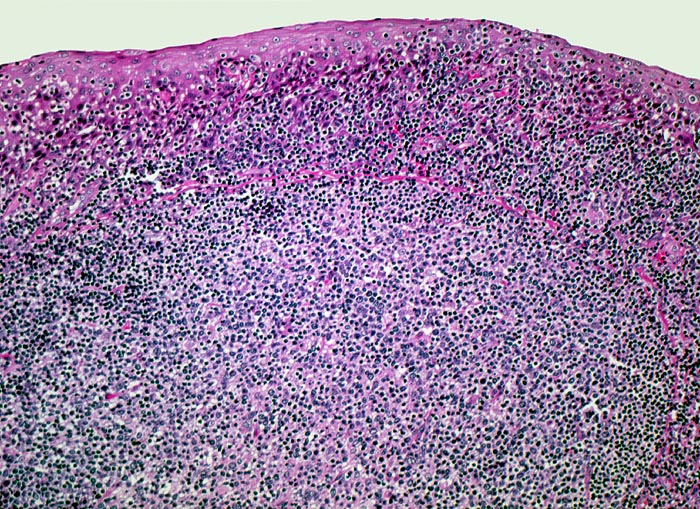
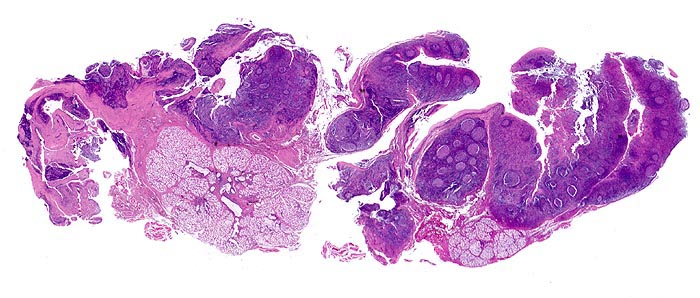
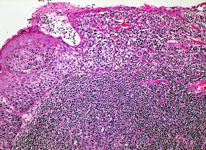
Tonsille
Einleitung
Aetiologie und Pathogenese:
Die infektiöse Mononukleose wird verursacht durch das humane Herpes Virus 4, das Epstein-Barr Virus (EBV). Das Virus wird bei intimem Kontakt über oropharyngeale Sekrete übertragen (kissing disease). Das Virus infiziert B Lymphozyten und das Epithel des Nasopharynx. Zirkulierende B Zellen verbreiten die Infektion in Leber, Milz und Lymphknoten. T Lymhozyten und natürlichen Killerzellen kontrollieren die Proliferation der infizierten B Lymphozyten. Die Schwere des Krankheitsbildes wird vor allem durch die starke Immunreaktion des Wirts (aktivierte T-Lymphozyten, Zytokine) verursacht. Eine schnelle und effiziente T-Zell Antwort kontrolliert den primären Infekt und führt zu einer lebenslangen Supression von EBV. Eine ineffiziente Abwehr ist in manchen Fällen verantwortlich für die Entwicklung eines B-Zell oder T-Zell Lymphoms. Die meisten lymphoproliferativen Erkrankungen/Lymphome nach Organtransplantation sind EBV assoziiert. Eine Reduktion der Immunsuppression kann in solchen Fällen die lymphoproliferative Erkrankung zum Verschwinden bringen. Ebenfalls EBV assoziiert ist die orale Haarleukoplakie beim HIV Patienten, sowie Leiomyome und Leiomyosarkome bei Immunsupprimierten.

Morphologie:
Lymphknoten, lymphatisches Gewebe des Oropharynx und Tonsillen zeigen ähnliche Veränderungen:
  • Aktivierung der B-Lymphozyten-Areale (EBV induzierte polyklonale Infektion und Stimulation der EBV-Rezeptor tragenden B-Zellen): grosse, aktivierte Keimzentren (=follikuläre Hyperplasie), aktive parafollikuläre Plasmazellbildung (B-Immunoblasten, Plasmoblasten, Plasmazellen).
  • Aktivierung der interfollikulären T-Zone (= sogenannte bunte Pulpahyperplasie) mit Hodgkin-artigen Zellen (= reaktive/aktivierte B- resp. T-Lymphozyten).
  • Gelegentlich Nekrosen (nicht im Präparat).
Beim Auftreten von Reed-Sternberg-artigen Zellen kann die morphologische Abgrenzung von einem Hodgkin Lymphom sehr schwierig sein.

update 30. August 2012
Klinik
Vorkommen:
Mehr als 90% aller Erwachsenen sind EBV seropositiv. Die EBV Infektion kann in allen Altersgruppen auftreten, ist aber besonders häufig bei jungen Erwachsenen.

Symptomatik:
Die meisten Infektionen verlaufen subklinisch. Die Inkubationszeit beträgt ca. 1 Monat. Am häufigsten beklagen sich die Patienten über Müdigkeit, Übelkeit und Appetitlosigkeit Bei Kindern und Jugendlichen klassisch ist die Trias Fieber, Pharyngitis und Lymphadenopathie. Ältere Patienten präsentieren sich eher mit einer anikterischen Hepatitis. Mögliche klinische Befunde sind geringes Fieber, Lymphadenopathie, Pharyngitis, Ausschlag, periorbitales Ödem, eine relative Bradykardie, Hepatosplenomegalie, Ikterus, Petechien am Gaumen und Uvulaödem. Bei 1-2% der Patienten kommt es zur potentiell letalen Milzruptur (Aufklärung der Patienten, vom Heben schwerer Gegenstände, von sportlichen Aktivitäten und Beschleunigungsbewegungen Abstand zu nehmen!). Eine extreme Tonsillenvergrösserung kann zur Luftwegsobstruktion führen. Enzephalitis und Myokarditis sind seltene Komplikationen. Die exsudative Tonsillitis wird oft mit einer Streptokokkenpharyngitis vom Typ A verwechselt, zumal der Abstrich bei rund 30% der Patienten positiv ist (Träger). Die kontraindizierte Behandlung mit Amoxicillin oder Ampicillin führt zu einem prolongierten juckenden verstärkten maculopapulösen Exanthem. Es handelt sich dabei aber nicht um eine Allergie auf Beta-Lactam Antibiotika.

Diagnostik:
Zur Beurteilung der EBV–Infektion werden drei verschiedene Antikörper gleichzeitig bestimmt: Early Antigen–IgM–Ak und Early Antigen –IgG–Ak dienen zum Erfassen einer akuten Infektion. EBNA–IgG–Ak sind in den ersten vier Wochen nach Krankheitsbeginn negativ, jedoch nach einer durchgemachten oder reaktivierten Infektion positiv. Es besteht eine Lymphozytose und im Blutausstrich erlaubt der Nachweis vergrösserter atypischer Lymphozyten (meist T Lymphozyten) die Diagnose einer Mononukleose. Bei EBV assoziierten Erkrankungen lässt sich das Virus in den infizierten Zellen mittels in situ Hybridisierung oder Immunhistochemie nachweisen.

Therapie:
Es gibt keine antivirale Therapie, die bei infektiöser Mononukleose eingesetzt werden kann. Bei massiver Tonsillenvergrösserung, hämolytischer Anämie oder ZNS Beteiligung sind kurzdauernd Steroide indiziert, nicht aber bei unkomplizierter Infektion.

Prognose:
Die Müdigkeit kann initial sehr stark ausgeprägt sein und bildet sich meist im Verlauf von 3 Monaten zurück. Einige Patienten sind aber von einer länger anhaltenden Müdigkeit betroffen (chronic fatigue syndrome).

update 30. August 2012
Normalbefund
Morphologie
Morphologische Merkmale:
  • Von nicht verhornendem Plattenepithel bedeckte Gaumentonsille.
  • Follikuläre Hyperplasie:
    Reaktive Keimzentren mit Zentrozyten, grösseren Zentroblasten und Kerntrümmermakrophagen. Follikel mit dunkler Mantelzone.
  • Interfollikuläre Hyperplasie der T-Zone (bunte Pulpahyperplasie):
    Hodgkinartige Zellen (=reaktive/aktivierte B- resp. T-Lymphozyten), kleine Lymphozyten, Immunoblasten mit zentralem Nukleolus und Plasmazellen.
  • Hochendotheliale postkapilläre Venolen (gesteigerte Lymphozyten-Rezirkulation).
Das sollte der Kliniker dem Pathologen mitteilen:
  • Nachgewiesene EBV Primärinfektion.
  • Lymphomverdacht.
  • Möglichkeit einer anderen infektiösen Erkrankung.
Praxis-Tipp:
  • Gewebe sofort frisch einsenden in mit NaCl getränkter steriler Gaze.
  • Lymphknoten nicht quetschen und Kauterartefakte vermeiden.
Makroskopie
Befund
Pathologischer Befund
Normalbefund
Datum
Ersteintrag: 10.07.2019
Update: 10.07.2019