PathoPic – image database / PathoPic ID 4018 - infektiöse Mononukleose: follikuläre Hyperplasie

de
Diagnose
infektiöse Mononukleose: follikuläre Hyperplasie
Diagnose Gruppe
Entzündung infektiös
Topographie
Tonsille
Topographie Gruppe
Lymphatische Gewebe, KM, Milz
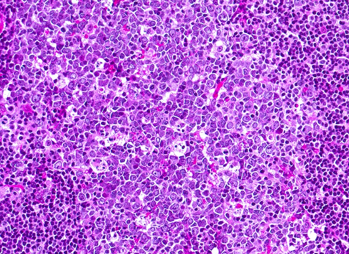
Beschreibung
Ausschnitt aus einem Lymphfollikel mit grossem Keimzentrum. Im Keimzentrum finden sich neben kleinen Zentrozyten und grösseren Zentroblasten mehrere Sternhimmelmakrophagen mit phagozytierten Kerntrümmern.
Klinik
Tonsillektomie bei einem Studenten mit Angina, Lymphknotenschwellungen und einer Lymphozytose im Blut.
Bilder Typ
Histologie
Vergrösserung
200
Alter
16
Geschlecht
männlich
Datum
Ersteintrag: 13.01.2002