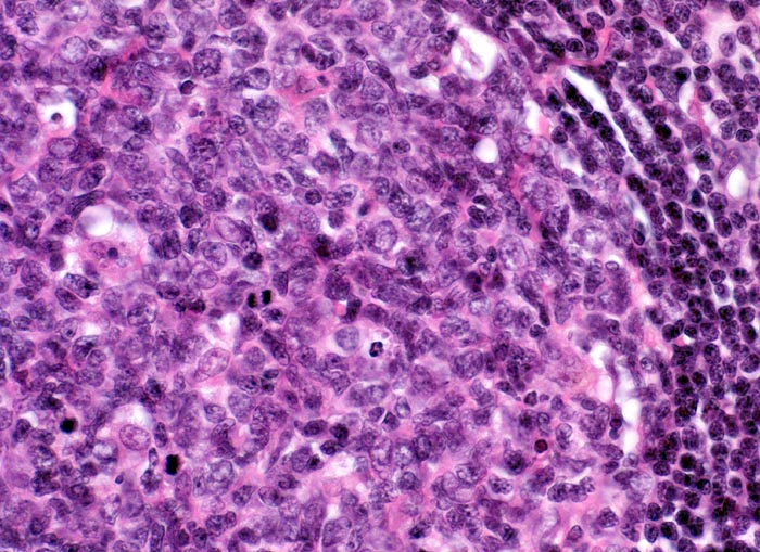
Keimzentrum mit kleinen zytoplasmaarmen Zentrozyten mit eckigen Kernen, grösseren Zentroblasten und follikulär dendritischen Zellen und Kerntrümmermakrophagen. Vereinzelt erkennbare Mitosen. Rechts im Bild dichtgepackte Lymphozyten in der Mantelzone.
Klinik
Perikolischer tumorfreier Lymphknoten aus dem Abflussgebiet eines wenig fortgeschrittenen Kolonkarzinoms.