PathoPic – image database / PathoPic ID 3920 - normaler Lymphknoten: Mantelzone und Marginalzone

de
Diagnose
normaler Lymphknoten: Mantelzone und Marginalzone
Diagnose Gruppe
Normalbefund
Topographie
Lymphknoten, abdominal
Topographie Gruppe
Lymphatische Gewebe, KM, Milz
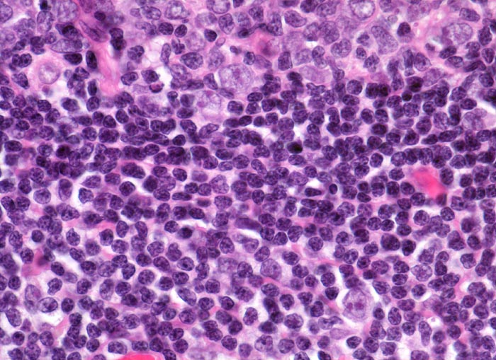
Beschreibung
Oben im Bild ein Keimzentrum mit Zentrozyten, Zentroblasten und follikulär dendritischen Zellen. Angrenzend die zelldichte Mantelzone. Unten im Bild die lockerer konfigurierte Marginalzone mit eingestreuten dendritischen Zellen mit sternförmigen Zytoplasmaausläufern und Blasten mit grossen Kernen.
Klinik
Perikolischer tumorfreier Lymphknoten aus dem Abflussgebiet eines wenig fortgeschrittenen Kolonkarzinoms.
Bilder Typ
Histologie
Vergrösserung
630
Alter
54
Geschlecht
unbekannt
Datum
Ersteintrag: 13.01.2002