ETHZ allg/ Plattenepithelkarzinom der Lunge, Resektionsrand

Diagnose
Plattenepithelkarzinom der Lunge, Resektionsrand
Diagnose Gruppe
maligner Tumor
Differenzialdiagnose
Topographie Gruppe
Lunge, Mediastinum mit Thymus
Topographie
Lunge
Einleitung
Ätiologie:
Nur wenige Risikofaktoren haben eine so enge Beziehung zur verursachten Krankheit wie das Rauchen zum Bronchuskarzinom. Das Risiko eines Rauchers ist mindestens zehnmal höher als bei einem Nichtraucher. Mehr noch als die Menge der gerauchten Zigaretten spielt die Dauer des Rauchens für das Risiko eine Rolle. Das Risiko fällt besonders hoch aus, wenn jemand schon vor dem 15. Lebensjahr mit dem Rauchen begonnen hat. Durch das Einstellen des Tabakkonsums könnten in der Schweiz schätzungsweise 25% aller Krebstodesfälle vermieden werden.
Klinik
Vorkommen:
Von allen malignen Tumoren verursacht das Bronchuskarzinom bei beiden Geschlechtern am meisten Todesfälle (rund ein Drittel aller Krebstodesfälle). Jährlich werden in der Schweiz gegen 3000 Bronchuskarzinome diagnostiziert. In 8 von 10 Fällen sind Männer betroffen, wobei die Inzidenz bei Männern eher ab- und bei Frauen eher zunimmt (veränderte Rauchgewohnheiten). Seit 1912 hat sich die alterskorrigierte Lungenkrebs-Todesrate alle 15 Jahre verdoppelt. Von Bronchuskarzinomen sind vor allem ältere Patienten betroffen. Die Gruppe der 60- bis 65jährigen hat mit 25% den höchsten Anteil. Aufgrund der Zunahme des Nikotinabusus in zunehmend jüngerem Alter und bei Frauen ist jedoch in den nächsten Jahren mit einer erheblichen Zunahme der Erkankungsfälle bei jüngeren Patienten und Frauen zu rechnen.

Symptomatik:
Nur gerade 5-15% der Patienten werden asymptomatisch erfasst. Meist handelt es sich dabei um einen Zufallsbefund auf dem Thoraxröntgenbild. Die Symptome treten spät auf und sind unspezifisch. Symptomatik hängt wesentlich von der Tumorlokalisation ab. Zentrales endobronchiales Wachstum führt zu Husten, Hämoptysen, Obstruktion der Atemwege, Dyspnoe und retrostenotischen Pneumonien. Periphere Tumoren verursachen Schmerzen ausgehend von der Pleura oder der tumorinfiltrierten Brustwand. Tumornekrosen vor allem bei Plattenepithelkarzinomen können eitrig einschmelzen und als Lungenabszess imponieren (> 3485). Lokales Tumorwachstum kann eine Obstruktion der Trachea, des Ösophagus oder der Vena cava superior mit oberer Einflussstauung verursachen. Aus einer Recurrensbeteiligung resultiert Heiserkeit, ein apikaler Tumor kann durch Infiltration des achten zervikalen und des ersten und zweiten thorakalen sympathischen Grenzstrangs zum Horner Syndrom führen. Die Perikardinfiltration kann eine Herzbeuteltamponade, Arrhythmien oder Herzversagen zur Folge haben. Die Obstruktion des Lymphabflusses resultiert in einem Pleuraerguss.

Therapie:
Bei einem lokalisierten nicht kleinzelligen Bronchuskarzinom der Stadien I und II ist die Operation die Therapie der Wahl und potentiell kurativ. Das chirurgische Vorgehen, Lobektomie, Pneumonektomie, segmentale oder Manschettenresektion, hängt von der Tumorausdehung und vom Allgemeinzustand des Patienten ab. Im optimalen Fall wird der Tumor bei weitgehender Schonung der tumorfreien Lunge vollständig entfernt. Die Operationsindikation muss individuell geprüft werden. Hauptziel ist die Vermeidung explorativer Thorakotomien wegen erst intraoperativ festgestellter Inoperabilität oder inkomplette Resektionen (wie im vorliegenden Fall). Alle hilären und mediastinalen Lymphknoten müssen entfernt werden, um eine R0 Resektion garantieren zu können. Bei der kurativen Behandlung des nicht kleinzelligen Karzinoms wird die Strahlentherapie sowohl im adjuvanten Ansatz postoperativ als auch als alleinige primäre Therapieform eingesetzt. Mit einer neoadjuvanten Radiochemotherapie kann für selektionierte Patienten im fortgeschrittenen Stadium eine potentiell kurative Operabilität erreicht werden. Die Auswahl der Chemotherapie bei nicht kleinzelligen Bronchuskarzinomen basiert auf der histologischen Unterscheidung des Karzinoms in squamös versus nicht squamös.

Prognose:
Trotz geringerem Ansprechen der nicht kleinzelligen Karzinome auf Chemotherapie sind bei der Behandlung dieser Tumoren wesentlich grössere Fortschritte erzielt worden als bei den kleinzelligen Karzinomen.
Morphologie
Morphologische Merkmale:
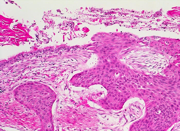
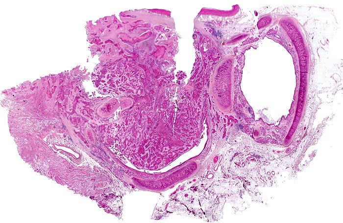
  • Zwei Bronchuslichtungen. Eine davon verschlossen durch einen Tumorzapfen.
  • Infiltration und Destruktion der Bronchialwand.
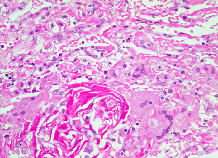
  • Solide Zellstränge eingebettet in lockeres desmoplastisches Stroma.
  • Im Zentrum der Zellstränge grosse Mengen von teils nekrotisch zerfallenden Hornlamellen und Fremdkörperriesenzellen.
  • Zytoplasmareiche Tumorzellen mit stachelartigen Interzellularbrücken.
  • Vergrösserte hyperchromatische Kerne.
  • Mitosen.
Das sollte der Kliniker dem Pathologen mitteilen:
  • Radiologischer Befund.
  • Tumorverdacht.
  • Typ der Resektion.
Praxis-Tipp:
  • Chirurgischen Resektionsrand markieren.
Makroskopie
Befund
Pathologischer Befund
Normalbefund
Literatur
Datum
Ersteintrag: 10.07.2019
Update: 10.07.2019