Pathopic
HiPaKu
ZyPaKu
PathoBasic
PathoBasic Cytology
Quizzes
Projektinfos
PathoPic - Projekt- und Copyright-Info
About
Pathopic
HiPaKu
ZyPaKu
PathoBasic
PathoBasic Cytology
Quizzes
PathoPic – image database
/
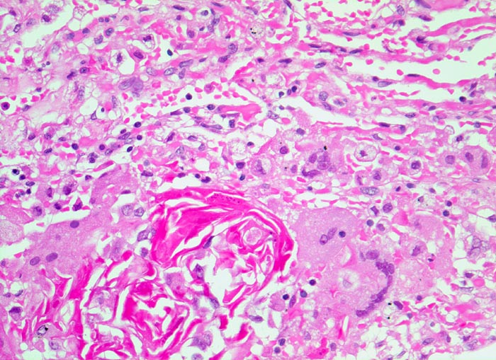
PathoPic ID 4728 - verhornendes Plattenepithelkarzinom: Hornmassen
de
Diagnose
verhornendes Plattenepithelkarzinom: Hornmassen
Diagnose Gruppe
maligner Tumor
Topographie
Lunge
Topographie Gruppe
Lunge, Mediastinum mit Thymus
Beschreibung
Das reichlich gebildete
Horn hat eine Fremdkörperreaktion ausgelöst.
Fremdkörperriesenzellen und
Makrophagen phagozytieren das tote Hornmaterial.
Klinik
Zentrales Bronchuskarzinom des rechten Lungenoberlappens von 5cm Durchmesser. Lungenoberlappenresektion.
Bilder Typ
Histologie
Vergrösserung
200
Alter
58
Geschlecht
männlich
Datum
Ersteintrag: 11.07.2002
CPS
·
©
2024 Institut für Pathologie Basel
/
Dr. med. Katharina Glatz-Krieger
.
·
v2.1