Pathopic
HiPaKu
ZyPaKu
PathoBasic
PathoBasic Cytology
Quizzes
Projektinfos
PathoPic - Projekt- und Copyright-Info
About
Pathopic
HiPaKu
ZyPaKu
PathoBasic
PathoBasic Cytology
Quizzes
PathoPic – image database
/
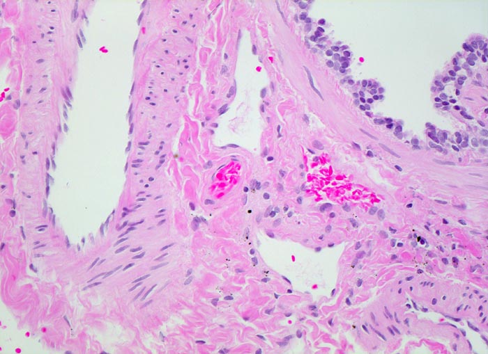
PathoPic ID 4365 - normales Lungenparenchym: Lungenarterienast und Bronchiolus
de
Diagnose
normales Lungenparenchym: Lungenarterienast und Bronchiolus
Diagnose Gruppe
Normalbefund
Topographie
Lunge
Topographie Gruppe
Lunge, Mediastinum mit Thymus
Beschreibung
Links im Bild ein Ast der Pulmonalarterie. Rechts davon der Anschnitt eines Bronchiolus mit
glattmuskulärer Wand.
Bilder Typ
Histologie
Vergrösserung
200
Alter
24
Geschlecht
männlich
Datum
Ersteintrag: 05.04.2002
CPS
·
©
2024 Institut für Pathologie Basel
/
Dr. med. Katharina Glatz-Krieger
.
·
v2.1