pit/ Maligner Pleuraerguss: Mammakarzinom

Diagnose
Maligner Pleuraerguss: Mammakarzinom
Diagnose Gruppe
maligner Tumor
Differenzialdiagnose
Topographie Gruppe
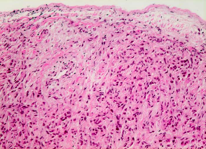
Körperhöhlen, Serosa
Topographie
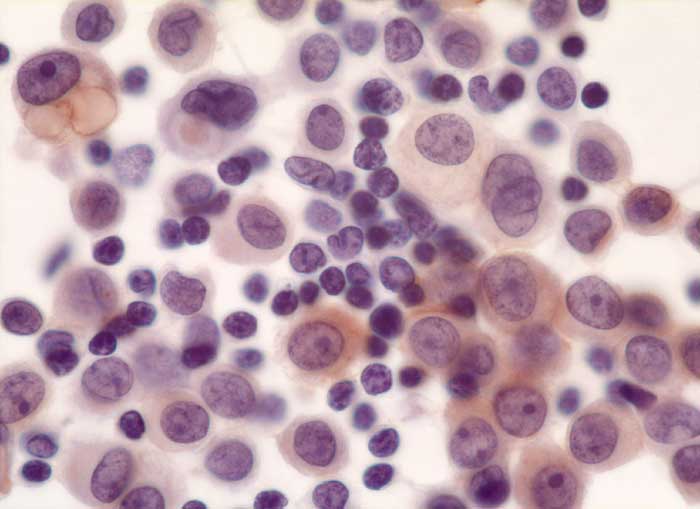
Pleuraerguss Zytologie
Einleitung
Mammakarzinome können sehr ähnlich aussehen wie reaktive Mesothelien. Bei bekanntem Mammakarzinom und atypischen Zellen im Erguss helfen die beiden Marker BerEP4 und Calretinin zur Unterscheidung von reaktiven Mesothelien und Karzinomzellen. Da Mesothelzellen gelegentlich auch positiv sein können für BerEP4, sollten stets beide Marker kombiniert angewendet werden.
Klinik
-
Normalbefund
Morphologie
Makroskopie
Virtuelles Präparat
Befund
Pathologischer Befund
Normalbefund
Literatur
Datum
Ersteintrag: 01.04.2003
Update: 01.04.2003