PathoPic – image database / PathoPic ID 6157 - mesothelialer Pseudoverband

de
Diagnose
mesothelialer Pseudoverband
Diagnose Gruppe
Normalbefund
Topographie
Peritoneum
Topographie Gruppe
Körperhöhlen, Serosa
Beschreibung
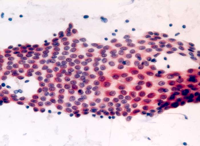
Douglas: Pseudoverband von monomorphen Mesothelzellen mit kleinen ovalen Kernen. Die Mesothelzellen sind positiv für den Mesothelzellmarker Calretinin.
Zusatzbefund
Immunzytochemisch sind vereinzelte fraglich atypische Zellen zytoplasmatisch positiv für den Epithelmarker Ber-EP4. Allerdings zeigen auch einige der zytologisch unauffälligen Mesothelien und zum Teil auch makrophagenartige Zellen eine schwache Positivität, so dass dieses Resultat hier nicht eindeutig zu verwerten ist. Es bestehen keine sicheren Hinweise auf einen peritonealen Befall durch das bekannte Endometriumkarzinom.
Klinik
Endometriumkarzinom pT1b G2.
Bilder Typ
Zytologie
Immunhistochemie
Calretinin
Vergrösserung
320
Alter
56
Geschlecht
unbekannt
Datum
Ersteintrag: 24.01.2003
Update: 28.03.2003