PathoPic – image database / PathoPic ID 6111 - Metastase: Mammakarzinom

de
Diagnose
Metastase: Mammakarzinom
Diagnose Gruppe
maligner Tumor
Topographie
Pleuraerguss Zytologie
Topographie Gruppe
Lunge, Mediastinum mit Thymus
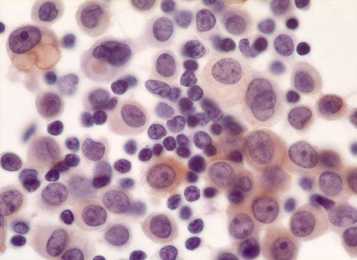
Beschreibung
Pleuraerguss: Die atypischen Zellen sind membranär positiv für den epithelialen Marker BerEP4.
Zusatzbefund
Dieselben Zellen sind negativ für den Mesothelmarker Calretinin, welcher vereinzelt eingestreute reaktive Mesothelien positiv färbt. Angesichts dieser Befundkonstellation handelt es sich um Karzinomzellen.
Klinik
Verdacht auf malignen Pleuraerguss links. Mamma-Karzinom.
Bilder Typ
Zytologie
Immunhistochemie
Ber-EP4
Vergrösserung
630
Alter
88
Geschlecht
unbekannt
Datum
Ersteintrag: 21.01.2003
Update: 28.03.2003