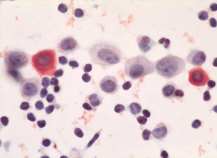
Diagnose
Metastase: Mammakarzinom
Diagnose Gruppe
maligner Tumor
Topographie
Pleuraerguss Zytologie
Topographie Gruppe
Lunge, Mediastinum mit Thymus
Beschreibung
Pleuraerguss: Die atypischen Zellen sind negativ für den Mesothelmarker Calretinin. Einige eingestreute reaktive Mesothelien sind positiv für Calretinin. Die Morphologie der Mesothelzellen und der Karzinomzellen ist praktisch identisch.
Zusatzbefund
Die Calretinin negativen Zellen sind BerEP4 positiv.
Klinik
Verdacht auf malignen Pleuraerguss links. Mamma-Karzinom.
Immunhistochemie
Calretinin
Datum
Ersteintrag: 21.01.2003
Update: 28.03.2003