l/ Calretinin

Diagnose
Calretinin
Diagnose Gruppe
Differenzialdiagnose
Topographie Gruppe
Topographie
Einleitung
Calretinin
Anfärbung:
Kern und Zytoplasma
Reaktion im Normalgewebe:
Calretinin ist ein Kalzium-bindendes Protein und gehört zur gleichen Proteinfamilie wie S-100. Zahlreiche Normalgewebe sind Calretinin positiv: Neuronen und Nervenfasern, Retina, Mesothel, ekkrine Drüsen, Nierentubuli, Leydig Zellen, Sertolizellen, Rete testis, Endometrium vor allem der Sekretionsphase, Mastzellen des Myometriums, Ovarialstroma, Thekazellen, follikuläre Zysten, Corpora lutea, Rete ovarii, Nebennierenrinde, verhornende Epithelzellen des Thymus, Adipozyten.
Reaktion in Neoplasien:
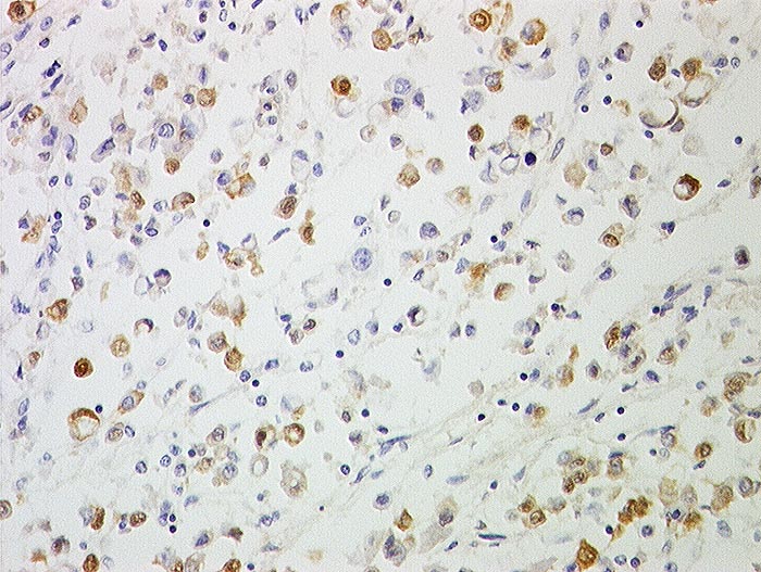
Positiv für Calretinin sind Mesotheliome (84% der epitheloiden, 50% der sarkomatoiden), Adenomatoidtumoren, Ameloblastome, Granulosazelltumoren und Keimstrang-Stroma Tumoren des Ovars, kardiale Myxome, Granularzelltumoren und Fibrosarkome.
Diagnostischer Nutzen:
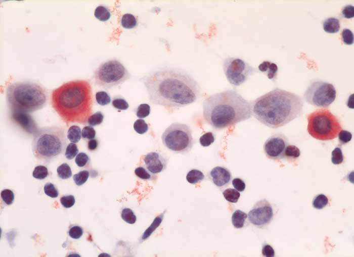
Unterscheidung von reaktiven Mesothelzellen oder Mesotheliomen (etwa 80% positiv) von Karzinomen (bis zu 20% meist nur fokal positiv) im Erguss.
Unterscheidung des kardialen Myxoms von organisierenden Thromben.
Identifikation von Keimstrang-Stroma Tumoren des Ovars.
Klinik
-
Normalbefund
Morphologie
Makroskopie
Virtuelles Präparat
Befund
Pathologischer Befund
Normalbefund
Literatur
Datum
Ersteintrag: 01.04.2003
Update: 01.04.2003