PathoPic – image database / PathoPic ID 1542 - Malignes Mesotheliom epithelialer Typ

de
Diagnose
Malignes Mesotheliom epithelialer Typ
Diagnose Gruppe
maligner Tumor
Topographie
Peritoneum
Topographie Gruppe
Körperhöhlen, Serosa
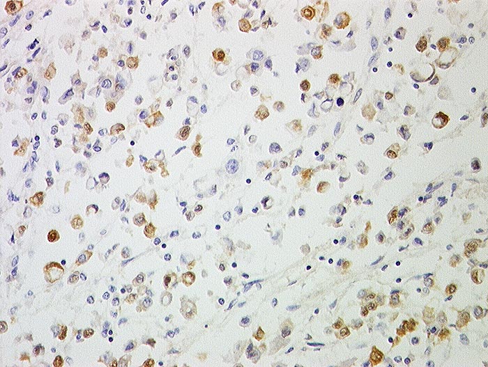
Beschreibung
Die teilweise vakuolisierten Tumorzellen sind positiv für den Mesothelmarker Calretinin. Die Tumorzellen kleiden tubuläre Räume aus.
Zusatzbefund
Lungenmetastasen. Aszites.
Bilder Typ
Histologie
Immunhistochemie
Calretinin
Alter
66
Geschlecht
männlich
Datum
Ersteintrag: 12.12.2001