p/ Papilläres Schilddrüsenkarzinom

Diagnose
Papilläres Schilddrüsenkarzinom
Diagnose Gruppe
maligner Tumor
Differenzialdiagnose
Topographie Gruppe
Endokrinium
Topographie
Schilddrüse
Einleitung
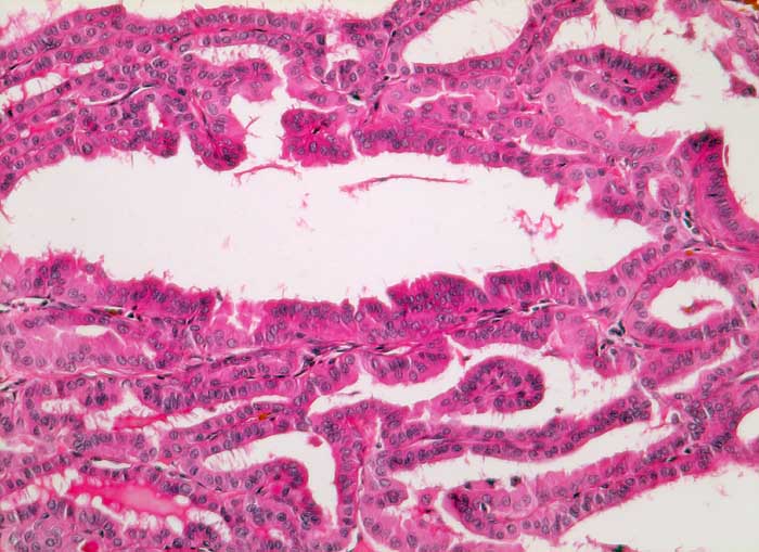
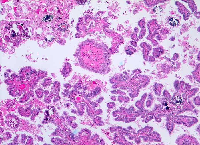
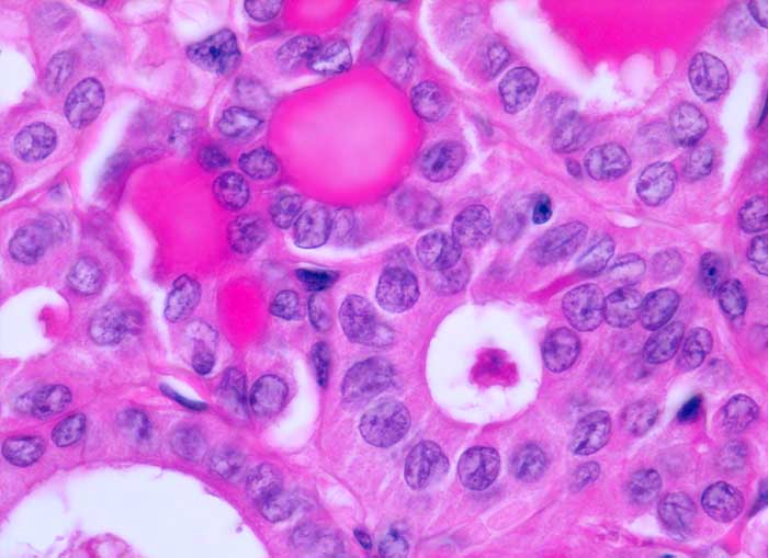
Klassisches diagnostisches Merkmal papillärer Schilddrüsenkarzinome sind fingerartige Papillen mit einem fibrovaskulären Stiel. Echte Papillen sind hochcharakteristisch aber gleichwohl nicht pathognomonisch für das papilläre Karzinom. Man findet sie auch bei Schilddrüsenhyperplasie, bei Thyreoiditis und in medullären Schilddrüsenkarzinomen. Ein Teil der papillären Schilddrüsenkarzinome zeigt überdies ein überwiegend follikuläres Wachstumsmuster. Die Diagnose des papillären Karzinoms wird dann aufgrund der typischen Kernmorphologie gestellt.
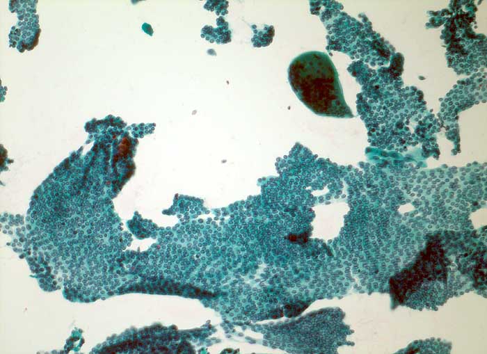
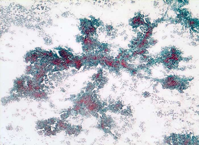
Die zytologischen Ausstriche sind meist zellreich und enthalten grosse einschichtige Zelltapeten in regelmässiger honigwabenartiger Anordnung. Dreidimensionale verzweigte Papillen mit fibrovaskulären Stromastielen finden sich lediglich in 10-60% der Fälle. Follikuläre Strukturen sind in bis zu 85% der Fälle zu sehen. Der Hintergrund ist oft zystisch mit Schaumzellen und mehrkernigen Riesenzellen. Gelegentlich lassen sich Psammomkörperchen nachweisen. Sehr wichtig für die Diagnose sind folgende Kernkriterien: leicht vergrösserte uniforme Kerne, unregelmässige Kernmembran, Kernkerben (grooves), intranukleäre Zytoplasmainvaginationen und prominenter eosinophiler Nukleolus.
Die Abbildungen zeigen zwei verschiedene Fälle eines papillären Schilddrüsenkarzinoms.
Klinik
-
Normalbefund
Morphologie
Makroskopie
Virtuelles Präparat
Befund
Pathologischer Befund
Normalbefund
Literatur
Datum
Ersteintrag: 13.04.2003
Update: 13.04.2003