Diagnose
Papilläres Schilddrüsenkarzinom
Diagnose Gruppe
maligner Tumor
Topographie Gruppe
Endokrinium
Beschreibung
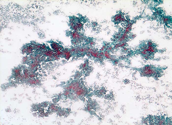
Feinnadelpunktion Schilddrüse: Papilläre Tumorzellverbände.
Klinik
Rezidivstruma mit Knoten und grösserer Zyste
Datum
Ersteintrag: 24.11.2002
Update: 11.02.2003