PathoPic – image database / PathoPic ID 5428 - papilläres Schilddrüsenkarzinom

de
Diagnose
papilläres Schilddrüsenkarzinom
Diagnose Gruppe
maligner Tumor
Topographie
Schilddrüse
Topographie Gruppe
Endokrinium
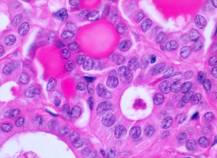
Beschreibung
In diesem Ausschnitt zeigt der Tumor eine follikuläre Differenzierung. Die Tumorzellen zeigen die typische Morphologie eines papillären Karzinoms mit Kernkerben und aufgehelltem Kernchromatin.
Zusatzbefund
pT2
Klinik
V.a. papilläres Schilddrüsenkarzinom. Jetzt Hemithyreoidektomie liks
Bilder Typ
Histologie
Vergrösserung
630
Alter
40
Geschlecht
unbekannt
Datum
Ersteintrag: 20.11.2002