PathoPic – image database / PathoPic ID 5427 - papilläres Schilddrüsenkarzinom

de
Diagnose
papilläres Schilddrüsenkarzinom
Diagnose Gruppe
maligner Tumor
Topographie
Schilddrüse
Topographie Gruppe
Endokrinium
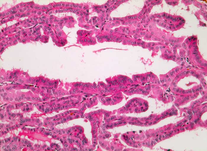
Beschreibung
Der Tumor bildet Papillen mit einem zarten fibrovaskulären Stromastiel. Die Tumorzellen zeigen den typischen Milchglasaspekt papillärer Karzinome.
Zusatzbefund
pT2
Klinik
V.a. papilläres Schilddrüsenkarzinom. Jetzt Hemithyreoidektomie liks
Bilder Typ
Histologie
Vergrösserung
100
Alter
40
Geschlecht
unbekannt
Datum
Ersteintrag: 20.11.2002