n/ Papilläres Urothelkarzinom pT1, G3

Diagnose
Papilläres Urothelkarzinom pT1, G3
Diagnose Gruppe
maligner Tumor
Differenzialdiagnose
Topographie Gruppe
Niere, Harnwege
Topographie
Urin
Einleitung
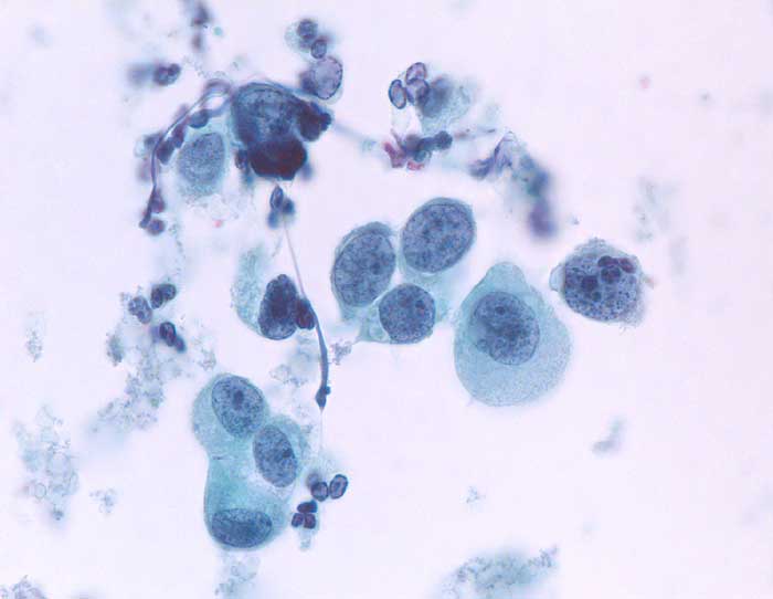
Das Urinsediment ist wie bei den meisten papillären Tumoren zellreich. Die Atypien sind auf den ersten Blick zu sehen. Die Tumorzellen sind deutlich grösser als Basal- und Parabasalzellen. Die Kerne sind polymorph, hyperchromatisch und sehr grob strukturiert. Sie können den lavabrockenähnlichen Kernen des Plattenepithelkarzinoms gleichen. Die Kernmembran ist oft gebuchtet oder grob gebuckelt. Büschel von hochgradig atypischen zylindrischen Urothelien weisen auf die papilläre Struktur des Tumors hin. Blut und Detritus bilden den Ausstrichhintergrund.
Klinik
-
Normalbefund
Morphologie
Makroskopie
Virtuelles Präparat
Befund
Pathologischer Befund
Normalbefund
Literatur
Datum
Ersteintrag: 01.04.2003
Update: 01.04.2003