PathoPic – image database / PathoPic ID 3996 - Wenig differenziertes papilläres Urothelkarzinom G3

de
Diagnose
Wenig differenziertes papilläres Urothelkarzinom G3
Diagnose Gruppe
maligner Tumor
Topographie
Harnblase
Topographie Gruppe
Niere, Harnwege
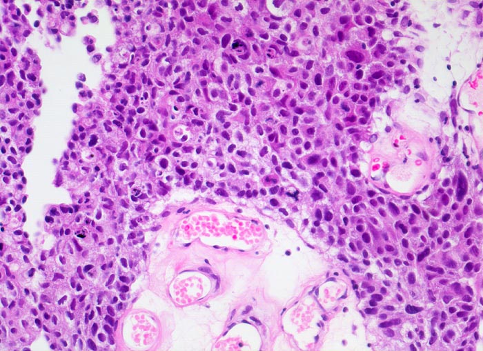
Beschreibung
Ödematöses Papillenstroma. Urothel verbreitert, mit ausgeprägter Polymorphie und Verlust der Polarität. Zahlreiche Apoptosen und eine atypische Mitose.
Zusatzbefund
Stromainvasion an anderer Stelle und assoziiertes Carcinoma in situ.
Klinik
Papillärer Harnblasentumor. Makrohämaturie.
Bilder Typ
Histologie
Vergrösserung
200
Geschlecht
weiblich
Datum
Ersteintrag: 13.01.2002
Update: 17.04.2005