Diagnose
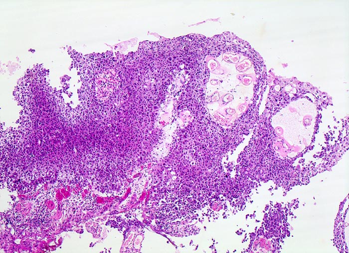
Wenig differenziertes papilläres Urothelkarzinom G3
Diagnose Gruppe
maligner Tumor
Topographie Gruppe
Niere, Harnwege
Beschreibung
Papillärer urothelialer Tumor mit ausgeprägter Polymorphie und Verlust der Polarität. Zahlreiche ektatische Gefässe im ödematösen Papillenstroma. In diesem Ausschnitt keine sichere Stromainvasion erkennbar.
Zusatzbefund
Stromainvasion an anderer Stelle und assoziiertes Carcinoma in situ.
Klinik
Papillärer Harnblasentumor. Makrohämaturie.
Datum
Ersteintrag: 13.01.2002
Update: 17.04.2005