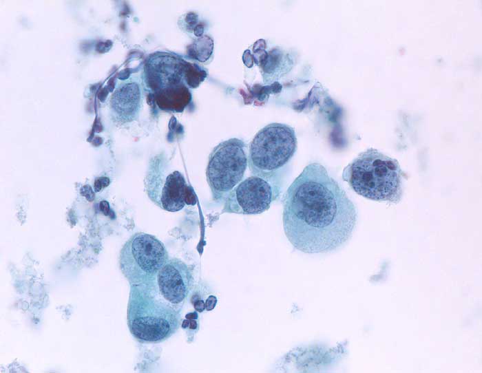
Diagnose
Urothelien mit schwerer Epithelatypie G3
Diagnose Gruppe
maligner Tumor
Topographie Gruppe
Niere, Harnwege
Beschreibung
Urothelzellen mit deutlich vergrösserten Kernen. Das Chromatin ist vergröbert und die Kernmembran leicht unregelmässig. Einzelne prominente Nukleolen.
Zusatzbefund
Die histologische Abklärung ergibt ein invasives papilläres Urothelkarzinom, G3.
Klinik
Verdacht auf Nierenbeckenkarzinom
Datum
Ersteintrag: 26.03.2003
Update: 16.04.2009