g/ HSIL: Carcinoma in situ des Plattenepithels

Diagnose
HSIL: Carcinoma in situ des Plattenepithels
Diagnose Gruppe
Präneoplasie/ Atypie/ Dignität?
Differenzialdiagnose
Topographie Gruppe
Mamma
Topographie
Portio
Einleitung
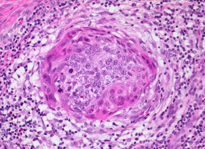
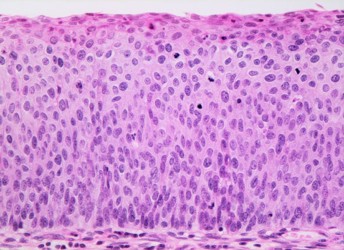
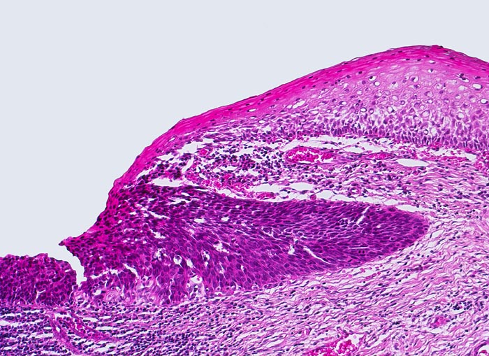
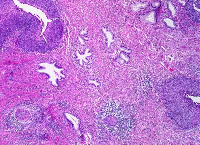
Das Carcinoma in situ wird in der Bethesda Klassifikation zusammen mit der mittelschweren und der schweren Dysplasie eingeteilt als high grade squamous intraepithelial lesion (HSIL). Im Vergleich zur schweren Dysplasie nehmen Grösse und Hyperchromasie der Kerne weiter zu. Die Zellgrösse entspricht dem Basalzelltyp. Das Chromatin ist grob verklumpt und unregelmässig verteilt. Der Kernhintergrund ist hell. Dadurch entsteht die an ein Leopardenfell erinnernde Kernstruktur. Grosse Nukleolen sind verdächtig auf eine bereits vorhandene Mikroinvasion (zweites Bildbeispiel). Zytologische und histologische Aufnahmen stammen von verschiedenen Patientinnen.
Klinik
-
Normalbefund
Morphologie
Makroskopie
Virtuelles Präparat
Befund
Pathologischer Befund
Normalbefund
Literatur
Datum
Ersteintrag: 02.04.2003
Update: 02.04.2003