Pathopic
HiPaKu
ZyPaKu
PathoBasic
PathoBasic Cytology
Quizzes
Projektinfos
PathoPic - Projekt- und Copyright-Info
About
Pathopic
HiPaKu
ZyPaKu
PathoBasic
PathoBasic Cytology
Quizzes
PathoPic – image database
/
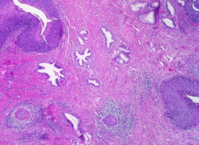
PathoPic ID 3434 - Mikroinvasives Plattenepithelkarzinom, ausgedehntes Cis
de
Diagnose
Mikroinvasives Plattenepithelkarzinom, ausgedehntes Cis
Diagnose Gruppe
maligner Tumor
Topographie
Zervix
Topographie Gruppe
Genitalorgane, weiblich
Beschreibung
Carcinoma in situ des metaplastischen Plattenepithels in der Umwandlungszone.
Stromainvasion.
Klinik
PAP V, HPV high risk Typen
Bilder Typ
Histologie
Vergrösserung
25
Alter
60
Geschlecht
unbekannt
Datum
Ersteintrag: 17.12.2001
Update: 30.07.2010
CPS
·
©
2024 Institut für Pathologie Basel
/
Dr. med. Katharina Glatz-Krieger
.
·
v2.1