PathoPic – image database / PathoPic ID 3461 - Mikroinvasives Plattenepithelkarzinom der Zervix

de
Diagnose
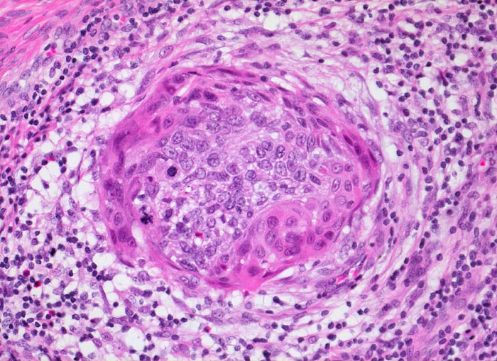
Mikroinvasives Plattenepithelkarzinom der Zervix
Diagnose Gruppe
maligner Tumor
Topographie
Zervix
Topographie Gruppe
Genitalorgane, weiblich
Beschreibung
Invasiver Herd im Zervixstroma umgeben von desmoplastischer Stromareaktion und Entzündungsinfiltrat.
Klinik
PAP V, HPV high risk Typen
Bilder Typ
Histologie
Vergrösserung
200
Alter
60
Geschlecht
unbekannt
Datum
Ersteintrag: 17.12.2001
Update: 30.07.2010