PathoPic – image database / PathoPic ID 6316 - Carcinoma in situ des Plattenepithels HSIL

de
Grad
Diagnose
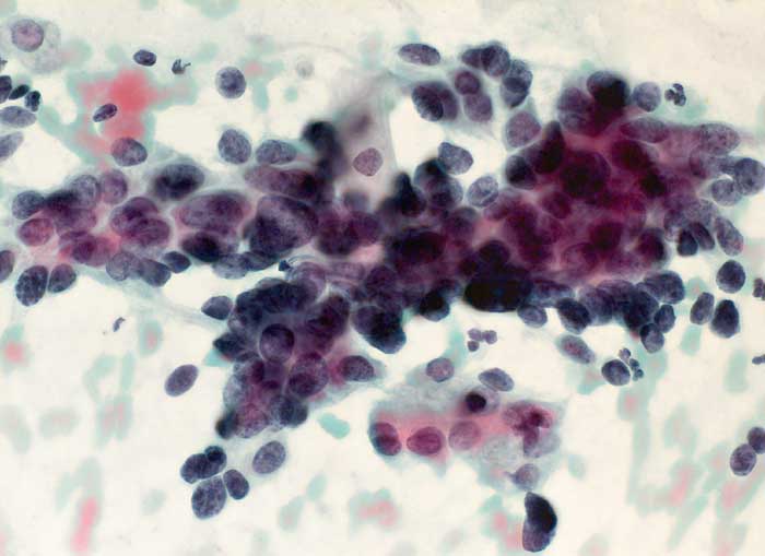
Carcinoma in situ des Plattenepithels HSIL
Diagnose Gruppe
Präneoplasie/ Atypie/ Dignität?
Topographie
Portio
Topographie Gruppe
Genitalorgane, weiblich
Beschreibung
Portioabstrich: Dreidimensionale hyperchromatische Verbände aus unreifen atypischen Kernen vom basalen Typ. Kernpolymorphie mässiggradig bis deutlich ausgeprägt. Chromatin grob gekörnt, hyperchromatisch. Keine vergrösserten Nukleolen. Sehr schmales Zytoplasma.
Zusatzbefund
HPV DNA Hybridisierung high grade positiv.
Klinik
Vorsorgekontrolle.
Kommentar
Verwechslungsmöglichkeit mit isoliert liegenden Kernen der endozervikalen Zylinderepithelien.
Bilder Typ
Zytologie
Vergrösserung
400
Alter
27
Geschlecht
unbekannt
Datum
Ersteintrag: 31.01.2003
Update: 10.08.2010