Basel 3BA FS/ Blasenmole

Diagnose
Blasenmole
Diagnose Gruppe
angeboren /genetisch/Missbildung
Topographie Gruppe
Paidopathologie
Topographie
Plazenta
Einleitung
Aetiologie:
Die komplette Blasenmole gehört zu den gutartigen neoplastischen gestationsbedingten Trophoblasterkrankungen in der Folge einer Befruchtungsstörung. Die gängige Hypothese besagt, dass eine leere Oozyte, welche den mütterlichen Chromosomenanteil verloren hat, von einem Spermatozyten mit väterlichem haploidem Chromosomensatz (23 X) befruchtet wird. Der väterliche Chromosomensatz wird verdoppelt. Das Genom in der Zygote ist zwar diploid, aber homozygot und ausschliesslich väterlichen Ursprungs (46XX), was als Diandrie bezeichnet wird. Selten wird eine leere Oozyte von zwei Spermatozyten befruchtet (diploid, heterozygot, 46XX oder XY). Neuere Hypothesen beziehen neue Erkenntnisse über Imprinting mit ein und haben biparentale komplette Blasenmolen nachweisen können, bei welchen zwar eine normale Vereinigung von normalem haploidem Spermium und normaler haploider Eizelle stattfindet. Es wird aber postuliert, dass pathologische Imprinting-Mechanismen zur Entwicklung einer kompletten Blasenmole führen, trotz "normalem" dizygotem biparentalem Chromosomensatz. 

Morphologie:
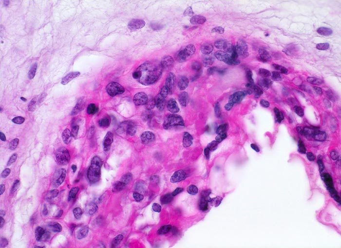
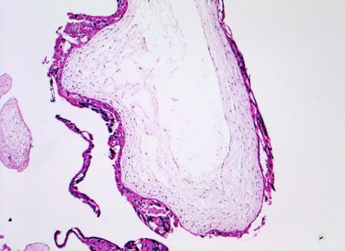
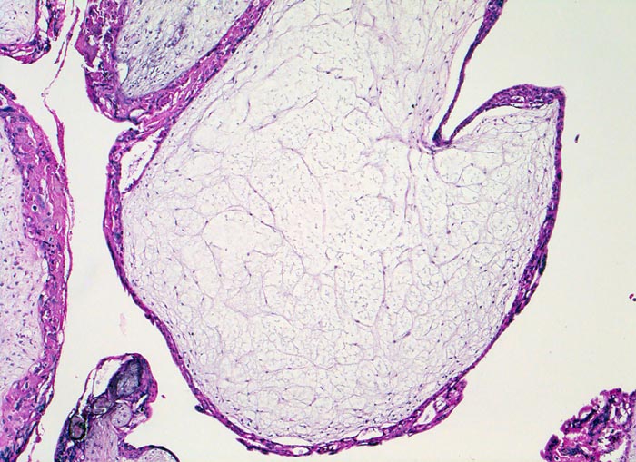
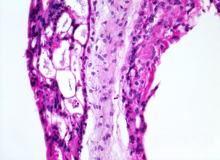
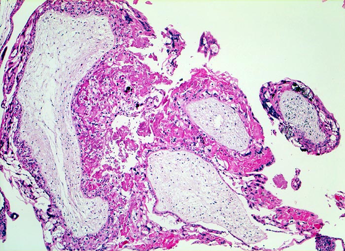
Makroskopisch ist die Plazenta deutlich grösser als erwartet für das Schwangerschaftsalter. Sie ist diffus von bis 2cm grossen Zottenblasen durchsetzt, welche nach Kollaps jedoch der makroskopischen Entdeckung entgehen können. Beim Aufschwemmen in Flüssigkeit entfalten sich die Blasen wieder. Mikroskopisch sind die Zotten aufgrund einer grobblasigen pseudozystischen Hohlraumbildung im Zottenstroma überwiegend grosskalibrig. Im Zottenstroma sind nur ganz vereinzelt Kapillaren nachweisbar. Im Gegensatz zu hydropisch geschwollenen Zotten im Sinne eines Regressionsphänomens zeigen die Zotten bei Blasenmole zusätzlich eine zirkumferentielle Hyperplasie von Synzytio- und Zytotrophoblast mit fakultativer Zellatypie. Bei herdförmiger Mole (> 3725) sind diese Veränderungen nur in einem Teil der Plazentarzotten ausgeprägt. 
Klinik
Vorkommen:
Die Häufigkeit liegt in Europa bei 1:2000 bis 1:3000 Schwangerschaften. In asiatischen Ländern ist sie häufiger. Das Krankheitsbild manifestiert sich zwischen 11. Und 25. SSW mit einem Maximum in der 16. bis 18. SSW. 

Symptomatik:
Bei zwei Dritteln der Patientinnen ist der Uterus grösser als dem Gestationsalter entsprechend. Die Patientinnen können uterine Blutungen und selten Abgang von Bläschen beobachten. Das beta HCG ist stark erhöht (serologisch 500000 bis 1 Mio. IE und mehr). 

Diagnostik:
Diagnostisch wegweisend ist die Kombination von grossem Uterus, Schneegestöber im Ultraschall bei fehlendem Embryo und sehr hohem beta HCG-Titer im mütterlichen Serum oder Urin (seltener auch im Normbereich oder tiefer). Gehäuft tritt eine Präeklampsie bereits in der 1. Schwangerschaftshälfte auf. Trophoblastembolien mit plötzlich auftretender Dyspnoe sind möglich. Mit zunehmend sensitiverer Ultraschalldiagnostik gelangen immer früher abortive Schwangerschaften ohne nachweisbaren Embryo zur Abortkürettage. In den ersten Schwangerschaftswochen sind die morphologischen Charakteristika der kompletten Blasenmole noch nicht voll ausgebildet, so dass deren affirmative Diagnose Zusatzuntersuchungen wie Flowzytometrie oder Immunhistochemie (p57) erfordert. 

Therapie:
Nach Diagnosestellung wird eine Kürettage durchgeführt. Bei Frauen über 35 Jahre oder als Notfallmassnahme kann als primäre Therapie eine Hysterektomie erfolgen. In manchen Zentren wird eine Chemotherapie mit Methotrexat durchgeführt. 

Verlauf:
Nach einer Molenschwangerschaft besteht ein erhöhtes Risiko für die Entwicklung einer persistierenden oder metastasierenden Trophoblasterkrankung. In 15% der Fälle wird ein Übergang in eine invasive Mole und in 2.5% der Fälle die Entwicklung eines Chorionkarzinoms beobachtet. Das HCG sollte initial wöchentlich, nach mehreren negativen Kontrollen noch monatlich über 6 Monate kontrolliert werden. Für die folgenden Schwangerschaften besteht ein zehnfach erhöhtes Risiko einer Molenschwangerschaft.
Morphologie
Morphologische Merkmale: 
  • Stark vergrösserte und verplumpte Plazentarzotten. 
  • Hydropisch umgewandeltes Zottenstroma ohne Gefässe mit Ausbildung von pseudozystischen Hohlräumen (Blasen) 
  • Trophoblastinklusionen und Kerntrümmer im Zottenstroma. 
  • Überschiessend proliferiertes Trophoblastepithel, teils in der gesamten Zirkumferenz der Zotten mit deutlichen Kernatypien. Kein Embryo. 
  • Deziduafragmente
  • Blutkoagel

Das sollte der Kliniker dem Pathologen mitteilen: 
  • Schwangerschaftsdauer. 
  • Vorausgegangene Aborte und Geburten. 
  • Verdacht auf Molenschwangerschaft (beta-HCG Wert). 
Makroskopie
Befund
Pathologischer Befund
Normalbefund
Datum
Ersteintrag: 10.07.2019
Update: 25.11.2022