PathoPic – image database / PathoPic ID 5124 - Blasenmole

de
Diagnose
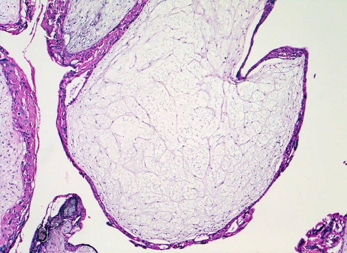
Blasenmole
Diagnose Gruppe
angeboren /genetisch/Missbildung
Topographie
Abortmaterial
Topographie Gruppe
Paidopathologie
Beschreibung
Die Plazentarzotten sind aufgetrieben, das Stroma ist ödematös und enthält keine Gefässe. Das Trophoblastepithel ist verdickt (normal zweilagig).
Klinik
beta HCG Level von 150'000 mIU/mL. Uterus zu gross für das Gestationsalter von 10 Wochen. Arterielle Hypertonie.
Bilder Typ
Histologie
Vergrösserung
50
Alter
32
Geschlecht
unbekannt
Datum
Ersteintrag: 24.07.2002