Pathopic
HiPaKu
ZyPaKu
PathoBasic
PathoBasic Cytology
Quizzes
Projektinfos
PathoPic - Projekt- und Copyright-Info
About
Pathopic
HiPaKu
ZyPaKu
PathoBasic
PathoBasic Cytology
Quizzes
PathoPic – image database
/
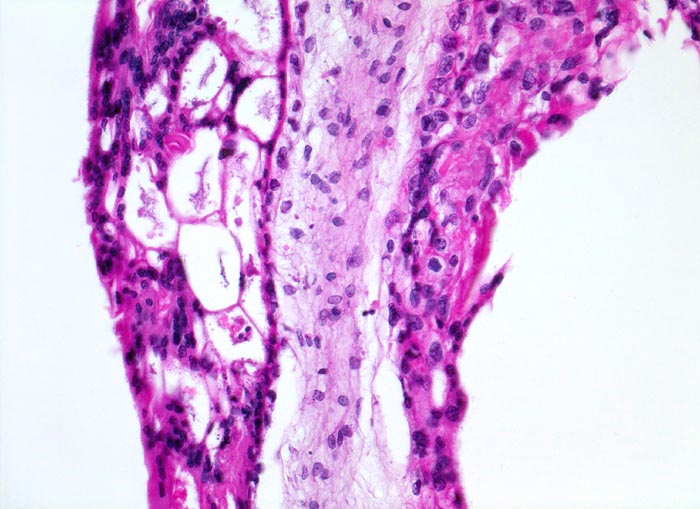
PathoPic ID 5127 - Blasenmole
de
Diagnose
Blasenmole
Diagnose Gruppe
angeboren /genetisch/Missbildung
Topographie
Abortmaterial
Topographie Gruppe
Paidopathologie
Beschreibung
Ausgeprägte Proliferation von
Syncytio- und
Zytotrophoblastepithel.
Klinik
beta HCG Level von 150'000 mIU/mL. Uterus zu gross für das Gestationsalter von 10 Wochen. Arterielle Hypertonie.
Bilder Typ
Histologie
Vergrösserung
200
Alter
32
Geschlecht
unbekannt
Datum
Ersteintrag: 06.07.2002
CPS
·
©
2024 Institut für Pathologie Basel
/
Dr. med. Katharina Glatz-Krieger
.
·
v2.1