PathoPic – image database / PathoPic ID 5212 - Gravidität

de
Diagnose
Gravidität
Diagnose Gruppe
Normalbefund
Topographie
Plazenta
Topographie Gruppe
Paidopathologie
Beschreibung
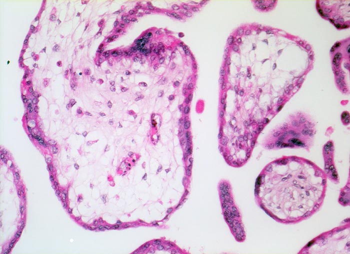
Plazentarzotte aus der 11. Schwangerschaftswoche mit lockerem Stroma und kleinen Gefässen. Diese enthalten überwiegend kernlose, aber zu diesem Zeitpunkt der Schwangerschaft auch noch einzelne kernhaltige Erythrozyten. Einschichtiger Zytotrophoblast. Syncytiotrophoblast.
Klinik
11. Schwangerschaftswoche. Normale Schwangerschaft
Kommentar
Die Plazentarzotten sind in Kotyledone gegliedert. Der Zottenstamm geht aus der Chorionplatte hervor und teilt sich in Zottenstämme niederer Ordnungszahl auf. Das Zottenwerk ist mit der Basalplatte fest verhaftet, indem ein Teil der Stammzotten dritter Ordnung über Zellsäulen mit der Basalplatte verbunden ist (=Haftzotten)
Bilder Typ
Histologie
Vergrösserung
200
Alter
0.212
Geschlecht
unbekannt
Datum
Ersteintrag: 23.07.2002