Staats/ B-CLL, kleinlymphozytisches B-Zell Lymphom

Diagnose
B-CLL, kleinlymphozytisches B-Zell Lymphom
Diagnose Gruppe
maligner Tumor
Differenzialdiagnose
Topographie Gruppe
Lymphatische Gewebe, KM, Milz
Topographie
Lymphknoten, inguinal
Einleitung
Definition:
Die chronische lymphatische B-Zell Leukämie (CLL) bzw. das kleinzellige lymphozytische B-Zell Lymphom (SLL) ist eine überwiegend aus monomorphen kleinen, runden bis leicht irregulären B Lymphozyten bestehende Neoplasie. In Gewebsinfiltraten bilden sich zusätzlich Proliferationszentren mit vermehrt Paraimmunoblasten (Pseudofollikelbildung). Meist ist das periphere Blut und das Knochenmark befallen (leukämischer Verlauf=CLL). Infiltrate finden sich zudem oft in Lymphknoten, Leber (> 3412) und Milz, gelegentlich auch in extramedullären Organen. Selten ist ein zunächst aleukämischer Gewebsbefall, dem später in der Regel ein Befall von Knochenmark und peripherem Blut folgt. Die Bezeichnung kleinlymphozytische B-Zell Lymphom (SLL) wird verwendet für nicht leukämisch verlaufende Tumoren mit derselben Tumorzellmorphologie und demselben Immunphänotyp einer CLL (CD5, CD20 und CD23 positiv). Im Falle eines SLL findet sich eine Lymphadenopathie, die Anzahl B-Lymphozyten im peripheren Blut beträgt <5x109/l und eine Zytopenie liegt wegen fehlender Knochenmarkinfiltration nicht vor.

Morphologie:
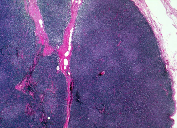
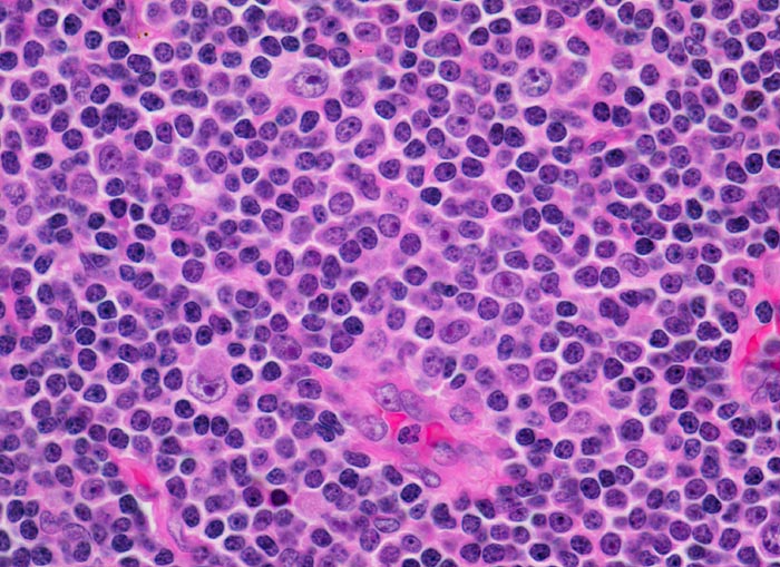
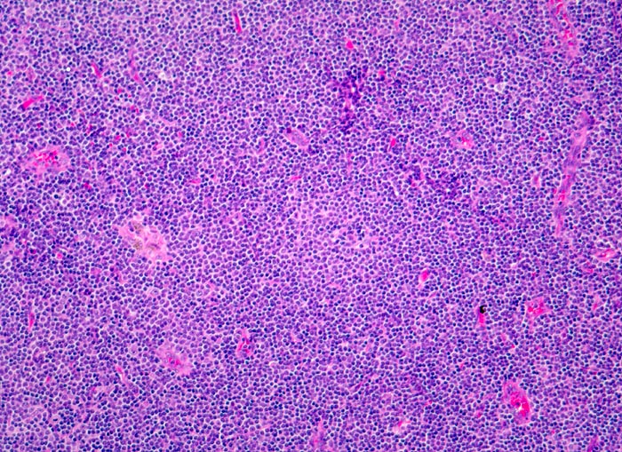
Befallene Lymphknoten weisen eine Zerstörung der normalen Architektur auf. Die neoplastischen Zellen bilden auf einem dunklen Hintergrund kleiner Zellen heller erscheinende Pseudofollikel bestehend aus vermehrt Paraimmunoblasten. Der dominierende Zelltyp ist etwas grösser als ein normaler Lymphozyt, der Kern ist rund und das Chromatin verklumpt. Der Zytoplasmasaum ist sehr schmal.

update 30. August 2012
Klinik
Vorkommen:
Die chronisch lymphatische B-Zell-Leukämie ist mit 30% die häufigste Leukämie in den westlichen Ländern. Das Durchschnittsalter liegt bei 65 Jahren. Männer sind zweimal häufiger betroffen.

Symptomatik:
Etwa drei Viertel der Patienten sind bei Diagnosestellung asymptomatisch oder haben unspezifische Symptome wie Müdigkeit und Gewichtsverlust. Dazu kommt, unter Umständen, eine generalisierte Lymphadenopathie (50%) und Hepatosplenomegalie (25%). Eine Infiltration extralymphatischer Organe (Pleura, Lunge, Haut, ZNS) ist selten. Da die Zellen immuninkompentent sind, kommt es zu einer Hypogammaglobulinämie und damit zu einer erhöhten Infektanfälligkeit (häufigste Todesursache). Infekterreger sind Streptococcus pneumoniae, Staphylokokken, Haemophilus influenzae und Herpes zoster Virus. Autoimmunphänomene sind bei ca. 20% der Patienten zu beobachten. Das Risiko für Zweitneoplasien wie Melanome, Bronchuskarzinome und gastrointestinale Neoplasien ist erhöht.


Diagnostik:
Etwa drei Viertel der Patienten sind bei Diagnosestellung asymptomatisch oder haben unspezifische Symptome wie Müdigkeit und Gewichtsverlust. Dazu kommt, unter Umständen, eine generalisierte Lymphadenopathie (50%) und Hepatosplenomegalie (25%). Eine Infiltration extralymphatischer Organe (Pleura, Lunge, Haut, ZNS) ist selten. Da die Zellen immuninkompentent sind, kommt es zu einer Hypogammaglobulinämie und damit zu einer erhöhten Infektanfälligkeit (häufigste Todesursache). Infekterreger sind Streptococcus pneumoniae, Staphylokokken, Haemophilus influenzae und Herpes zoster Virus. Autoimmunphänomene sind bei ca. 20% der Patienten zu beobachten. Das Risiko für Zweitneoplasien wie Melanome, Bronchuskarzinome und gastrointestinale Neoplasien ist erhöht.

Diagnose:
Eine absolute Lymphozytose im Blutausstrich mit entsprechenden Phänotyp ist diagnostisch. Peripheres Blut (Lymphozytose) und Knochenmark sind bei einer CLL obligat befallen. Die Diagnose wird gesichert durch Immunphänotypisierung der Lymphozyten. Diese dient auch zur Abgrenzung von Mantelzelllymphom, follikulärem Lymphom, splenischem Marginalzonenlymphom und Haarzellleukämie. In Amerika ist die Stadieneinteilung nach Rai verbreitet, in Europa wird mehrheitlich die Stadieneinteilung nach Binet gebraucht.

Therapie:
Der Verlauf hängt von der exakten Zytogenetik der Leukämie ab (Fälle mit 17p13, TP53 Lokus, Deletionen sind sehr aggressiv) ist meist wenig aggressiv, aber durch gängige Therapien nicht heilbar. Patienten mit frühen Stadien bedürfen in der Regel keiner Therapie. Purin Nukleosid Analoga oder Alkylantien ev. in Kombination mit dem monoklonalen Antikörper CD20 können zu einer lang anhaltenden Remission führen. Die allogene Stammzelltransplantation hat als einzige Therapiemodalität kuratives Potential. Patienten mit CLL überleben im Mittel sieben Jahre.

Verlauf:
Bei 5-10% der Patienten kommt es im Verlauf zu einer Transformation der CLL in ein aggressiveres Lymphom, meist ein diffus grosszelliges B-Non Hodgkin-Lymphom, seltener ein Hodgkin Lymphom (=Richter-Syndrom).

Prognose:
Die Prognose nach Transformation sowie bei Patienten mit initialer del17p und del 11q ist schlecht. Das mediane Überleben beträgt nach konventioneller Chemotherapie nur 6 Monate. Zytogenetische Aberrationen, die mit Fluoreszenz in situ Hybridisierung (FISH) nachgewiesen werden können, sind von prognostischer Bedeutung. Patienten mit Deletion von 11q und 17p zeigen beispielsweise ein schlechteres Therapieansprechen.

update 30. August 2012
Normalbefund
Morphologie
Morphologische Merkmale:
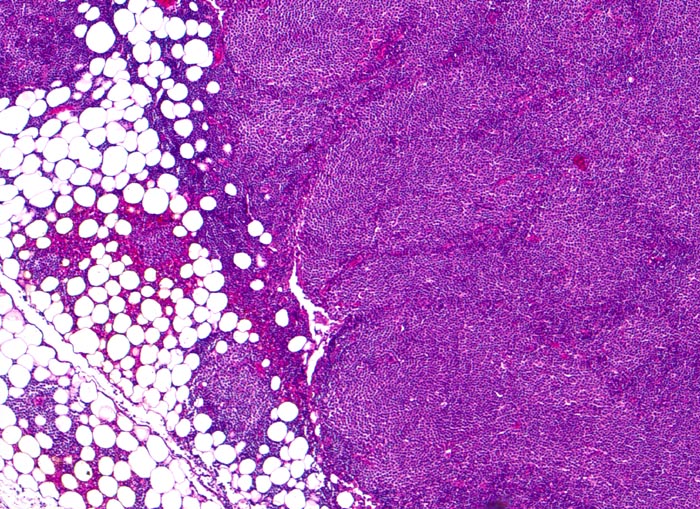
  • Vergrösserter Lymphknoten mit zerstörter Lymphknotenarchitektur.
  • Diffuse Infiltration des Lymphknotens durch monomorphe kleinlymphozytische Lymphomzellen.
  • Unscharf begrenzte helle Areale (Proliferationszentren) auf dunkelblauem Hintergrund.
  • Proliferationszentren (=Pseudofollikel) bestehend aus Lymphozyten und Paraimmunoblasten.
  • Übergreifen des neoplastischen Infiltrates auf das umgebende Fettgewebe.
Das sollte der Kliniker dem Pathologen mitteilen:
  • Blutbild (Lymphozytose bei leukämischem Verlauf).
  • Ausdehnung des Lymphombefalls.
Praxis-Tipp:
  • Gewebe sofort frisch einsenden in mit NaCl getränkter steriler Gaze.
  • Lymphknoten nicht quetschen und Kauterartefakte vermeiden.
update 30. August 2012
Makroskopie
Virtuelles Präparat
Befund
Pathologischer Befund
Normalbefund
Literatur
Datum
Ersteintrag: 14.03.2019
Update: 14.03.2019