PathoPic – image database / PathoPic ID 3412 - Infiltration der Portalfelder: chronische lymphatische Leukämie (CLL)

de
Diagnose
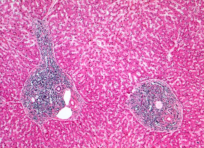
Infiltration der Portalfelder: chronische lymphatische Leukämie (CLL)
Diagnose Gruppe
maligner Tumor
Topographie
Leber
Topographie Gruppe
Leber, Gallenwege, Pankreas
Beschreibung
Sehr dichtes leukämisches Infiltrat begrenzt auf die Portalfelder.
Zusatzbefund
-
Bilder Typ
Histologie
Vergrösserung
50
Alter
80
Geschlecht
unbekannt
Datum
Ersteintrag: 17.12.2001