PathoPic – image database / PathoPic ID 3928 - chronische lymphozytische Leukämie vom B-Zell Typ

de
Diagnose
chronische lymphozytische Leukämie vom B-Zell Typ
Diagnose Gruppe
maligner Tumor
Topographie
Lymphknoten, inguinal
Topographie Gruppe
Lymphatische Gewebe, KM, Milz
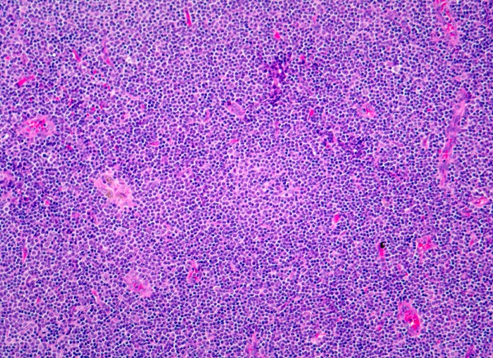
Beschreibung
Diffuse Inifiltration des Lymphknotens durch ein auffallend monotones kleinzelliges lymphozytisches neoplastisches Infiltrat. Das helle Areal entspricht einem Proliferationszentrum (Pseudofollikel).
Klinik
Asymptomatische Patientin mit generalisierter Lymphknotenvergrösserung. Zufallsbefund.
Kommentar
Patienten mit einer chronischen lymphatischen Leukämie haben zum Zeitpunkt der Diagnose per Definition eine Blutlymphozytose (leukämische Ausschwemmung) und einen Befall des Knochenmarks. Die Diagnose eines kleinzelligen lymphozytischen Lymphoms (SLL) wird dann gestellt, wenn lediglich eine Lymphknotenbeteiligung ohne Knochenmarkbefall und ohne leukämische Ausschwemmung vorliegt.
Bilder Typ
Histologie
Vergrösserung
100
Alter
82
Geschlecht
unbekannt
Datum
Ersteintrag: 28.09.2002