AP/ Synovialitis bei rheumatoider Arthritis

Diagnose
Synovialitis bei rheumatoider Arthritis
Diagnose Gruppe
Systemerkrankung/Immunpathologie
Differenzialdiagnose
Topographie Gruppe
Weichteile
Topographie
Synovialis
Einleitung
Morphologie:
In Abhängigkeit von der Entzündungsdauer werden unterschiedliche morphologische Befunde beschrieben. Die initiale proliferative Phase ist charakterisiert durch eine Hyperplasie der Synovialis, Fibrinexsudate und Gelenkergüsse. In der destruktiven Phase kommt es zur Zerstörung von Gelenkknorpel und gelenknahem Knochen durch Ausbildung eines intraartikulären Pannusgewebes (> 194). Die ausgebrannte Phase ist gekennzeichnet durch eine synoviale Fibrose mit zunehmender Ankylose (= Gelenkversteifung).
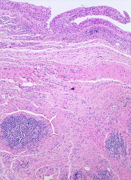
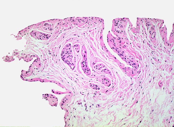
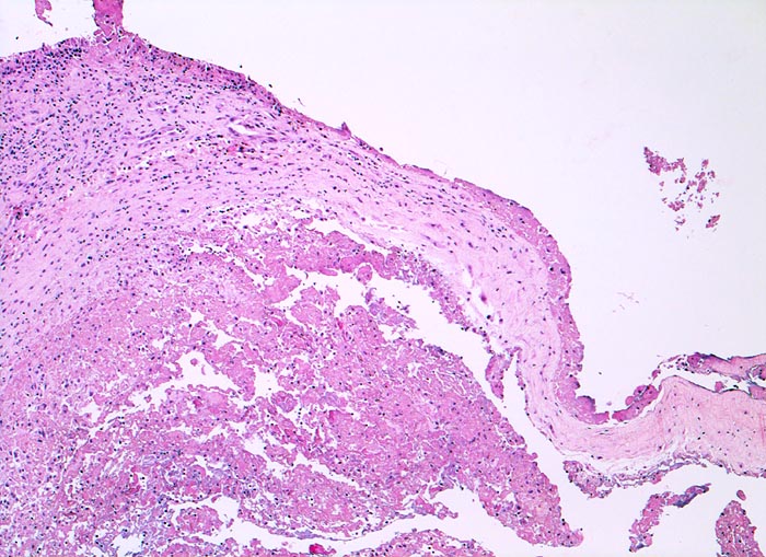
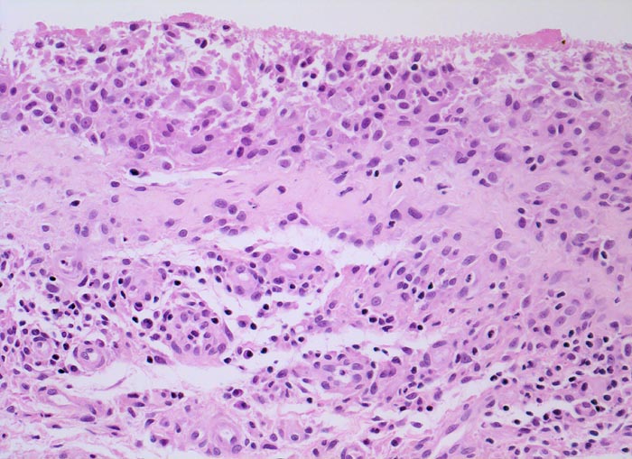
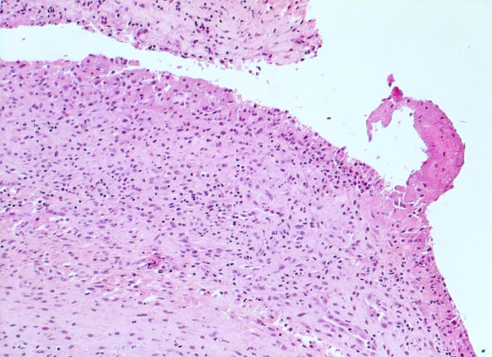
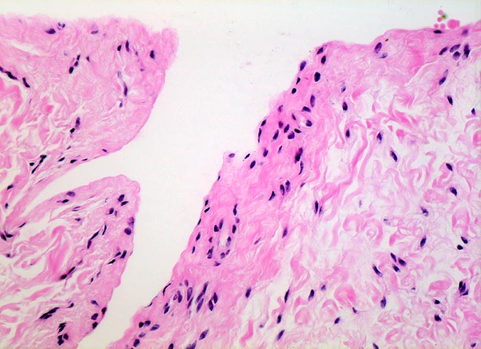
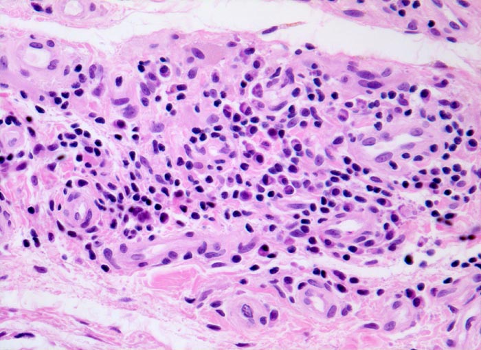
Typische histologische Veränderungen sind eine synoviale Zottenhyperplasie, Verbreiterung der Deckzellschicht unter Einschluss mehrkerniger Riesenzellen, Fibrinexsudate und synoviale Ulzerationen, Infiltrate von Lymphozyten teils in Form von Lymphfollikeln, Plasmazellen, neutrophilen Granulozyten, Makrophagen und Siderophagen, sowie Einschlüsse von Knorpel- und Knochenfragmenten (Detritussynovialitis). Die histologischen Befunde der Synovialis korrelieren oft nicht mit den klinischen Angaben. Trotz fortgeschrittener Gelenkdestruktion mit ausgeprägter klinischer Symptomatik können Synovialektomiepräparate nur sehr geringe pathologische Veränderungen zeigen. Oft ist auch nicht mehr zu eruieren, welche Läsionen Folge der Grundkrankheit und welche Folge diverser intraartikulärer Therapien oder begleitender Superinfektionen sind.

Synovialitisscore nach Krenn:
Bei einem grösseren Teil der Gelenkerkrankungen ist die histopathologische Diagnostik dadurch eingeschränkt, dass nur uncharakteristische Befunde zu erheben sind. Um die Synovialitisdiagnostik zu standardisieren, wurde ein Gradierungssystem, der sog. Synovialitis-Score, vorgeschlagen. Gradiert werden die Dicke der Deckzellschicht, die Zelldichte des synovialen Stromas und das chronische Entzündungsinfiltrat. (0-1 Punkt: keine Synovialitis; 2-4 Punkte: low-grade Synovialitis; 5-9 Punkte: high-grade Synovialitis). Der Befund einer hochgradigen Synovialitis als diagnostisches Kriterium für eine rheumatische Erkrankung besitzt eine Sensitivität von 60.5% und eine Spezifität von 95.5%. Die diagnostische Synovialisbiopsie bleibt aber ausgewählten und klinisch unklaren Konstellationen vorbehalten und ist in der Mehrzahl der Fälle nicht erforderlich.

Merke:
Das gelenkauskleidende Gewebe, die Auskleidung von Sehnenscheiden und Bursae nennt man Synovialis. Die Gelenkflüssigkeit heisst Synovia. Die auskleidenden synovialen Deckzellen sind mesenchymale, keine epithelialen Zellen.

update 5.9.2018
Klinik
Vorkommen:
Die rheumatoide Arthritis (RA) ist eine progressive, entzündliche Autoimmunerkrankung mit einer Prävalenz von ca. 1% in der Schweiz. Diagnostik:
Zur Diagnose der RA können die Klassifikationskriterien des American College of Rheumatology herangezogen werden, welche sich auf klinische, radiologische und serologische Befunde stützen. Allerdings werden die ACR-Kriterien in Frühstadien der Erkrankung oft nicht erfüllt. Der Rheumafaktor ist der einzige serologische Krankheitsmarker, der als ACR-Kriterium berücksichtigt wird. Er hat eine Sensitivität von 60-80%, ist aber nicht sehr spezifisch. Eine deutlich höhere Spezifität (94-99%) bei vergleichbarer Sensitivität hat der Antikörper gegen cyclisches citrulliniertes Peptid (anti-CCP). Der anti-CCP2 Test kann Jahre vor der Manifestation einer RA positiv sein und fällt bei 1/3 aller Rheumafaktor negativen RA Patienten positiv aus.
Innerhalb der high-grade Synovialitiden (histologischer Synovialitisscore >4) ist eine sichere Unterscheidung zwischen Psoriasisarthritis, reaktiver Arthritis und rheumatoider Arthritis rein histologisch nicht möglich, es sei denn, es liegen Rheumagranulome vor. Entscheidend für die integrative Diagnose sind daher auch klinische und serologische Befunde. Typische histologische Befunde können die klinische Diagnose aber unterstützen.

update 5.9.2018
Normalbefund
Morphologie
Morphologische Merkmale:
  • Synovialis mit verplumpten Zotten.
  • Stark proliferierte mehrreihige synoviale Deckzellschicht.
  • Herdförmig Fibrinauflagerungen durchsetzt von neutrophilen Granulozyten.
  • Hyperzelluläres Stroma mit lymphoplasmazellulärem Entzündungsinfiltrat mit Ausbildung von Lymphfollikeln.
Das sollte der Kliniker dem Pathologen mitteilen:
  • Anamnese, Laborbefunde und endoskopische Aspekte. Im Idealfall sollte die Entnahmestelle des Biopsates genau dokumentiert und beschrieben werden.
Makroskopie
Befund
Pathologischer Befund
Normalbefund
Datum
Ersteintrag: 10.07.2019
Update: 10.07.2019