PathoPic – image database / PathoPic ID 4774 - fibrinöse Synovialitis bei chronischer Polyarthritis

de
Diagnose
fibrinöse Synovialitis bei chronischer Polyarthritis
Diagnose Gruppe
Systemerkrankung/Immunpathologie
Topographie
Synovialis
Topographie Gruppe
Knochen, Knorpel, Gelenke
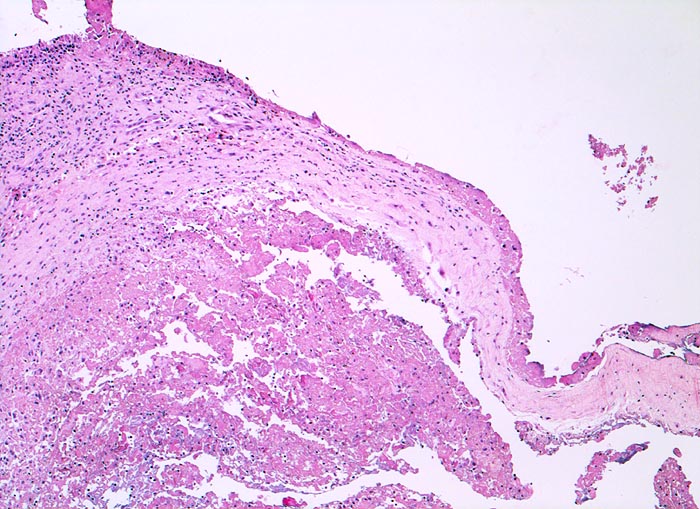
Beschreibung
Anstelle der synovialen Deckzellschicht sind die Zotten der Synovialis von einer dicken Fibrinschicht durchmischt mit Granulozyten bedeckt.
Klinik
Bekannte seropositive chronische Polyarthritis.
Kommentar
Eine akute fibrinöse Entzündung findet sich häufig bei einer floriden chronischen Polyarthritis.
Bilder Typ
Histologie
Vergrösserung
50
Alter
64
Geschlecht
unbekannt
Datum
Ersteintrag: 06.10.2002
Update: 25.12.2007