PathoPic – image database / PathoPic ID 4776 - Synovialitis bei chronischer Polyarthritis

de
Diagnose
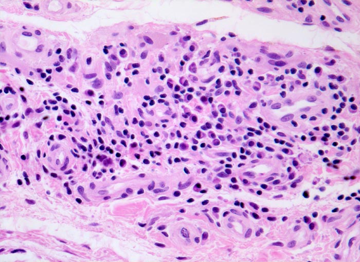
Synovialitis bei chronischer Polyarthritis
Diagnose Gruppe
Systemerkrankung/Immunpathologie
Topographie
Synovialis
Topographie Gruppe
Knochen, Knorpel, Gelenke
Beschreibung
Lymphoplasmazelluläres Entzündungsinfiltrat im Stroma. Die Plasmazellen sind gut erkennbar an der perinukleären Zytoplasmaaufhellung.
Klinik
Bekannte seropositive chronische Polyarthritis.
Kommentar
Der Nachweis von Plasmazellen ist typisch, aber nicht beweisend für eine chronische Polyarthritis.
Bilder Typ
Histologie
Vergrösserung
200
Alter
64
Geschlecht
unbekannt
Datum
Ersteintrag: 06.05.2002
Update: 25.12.2007