AP/ Fibroosteoklasie

Diagnose
Fibroosteoklasie
Diagnose Gruppe
Systemerkrankung/Immunpathologie
Differenzialdiagnose
Topographie Gruppe
Knochen, Knorpel, Gelenke
Topographie
Knochen, Becken
Einleitung
Definition:
Von einer Fibroosteoklasie spricht man,wenn es im Rahmen eines Hyperparathyreoidismus (primär, sekundär oder tertiär) zu einer intensiven Knochenresorption und Bindegewebsbildung an der Knochenoberfläche und in den Resorptionslakunen kommt.

Aetiologie:
Am häufigsten tritt die Fibroosteoklasie im Rahmen einer renalen Osteopathie bei Dialysepatienten auf und ist dann meist kombiniert mit osteomalazischen (Vitamin D Mangel) und osteoporotischen Veränderungen. Seltener tritt die Fibroosteoklasie im Rahmen eines primären Hyperparathyreoidismus auf (Adenom>Hyperplasie>Karzinom der Nebenschilddrüse).

Morphologie:
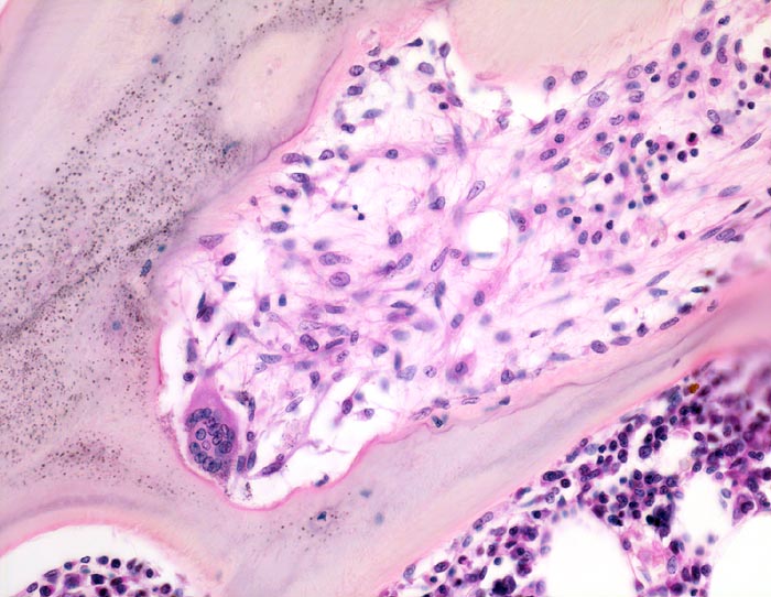
Histologisch findet sich beim Hyperparathyreoidismus eine gesteigerte Osteoklastentätigkeit mit Tunnellierung der Knochenbälkchen und gleichzeitig eine gesteigerte Knochenneubildung mit Fibrose der peritrabekulären Markräume. Die Maximalvariante eines sogenannten „Braunen Tumors“ -Osteodystrophia fibrosa generalisata cystica von Recklinghausen- kommt heute in Mitteleuropa praktisch nicht mehr vor. Die braune Farbe dieses Tumors wird durch sekundäre Einblutungen und Siderinablagerungen verursacht.
Klinik
Symptomatik:
Urolithiasis, Muskelschwäche, Müdigkeit, gastrointestinale Beschwerden und Polyurie. Ein Viertel der Patienten klagen über Knochenschmerzen. Pathologische Frakturen können vorkommen. Die Diagnose stellt oftmals einen Zufallsbefund (Hyperkalzämie) dar.
Morphologie
Morphologische Merkmale:
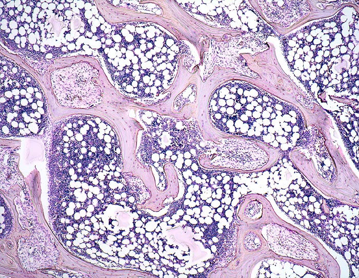
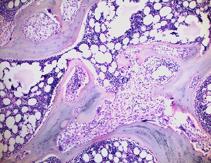
  • Dünne Spongiosabälkchen mit herdförmiger peritrabekulärer Fibrose.
  • Vermehrte Osteoklastentätigkeit: Spongiosabälkchen mit tiefen Resorptionslakunen, welche die Bälkchen z.T. tunnelartig aushöhlen.
  • Die Resorptionslakune ist aufgefüllt mit lockerem Bindegewebe gebildet von Fibroblasten.
Das sollte der Kliniker dem Pathologen mitteilen:
  • Erkrankung der Nebenschilddrüsen.
  • Frage nach Knochenstoffwechselstörung (erfordert spezielle Gewebsverarbeitung).
  • Kalzium-, Phosphat-, Vitamin D- und Parathormonspiegel.
  • Radiologischer Befund.
Makroskopie
Befund
Pathologischer Befund
Normalbefund
Datum
Ersteintrag: 04.11.2018
Update: 04.11.2018