PathoPic – image database / PathoPic ID 3581 - Fibroosteoklasie

de
Diagnose
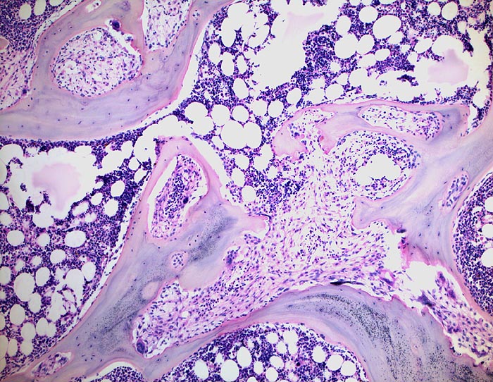
Fibroosteoklasie
Diagnose Gruppe
Systemerkrankung/Immunpathologie
Topographie
Knochen, Becken
Topographie Gruppe
Knochen, Knorpel, Gelenke
Beschreibung
Spongiosabälkchen mit tiefen Resorptionslakunen, welche die Bälkchen z.T. tunnelartig aushöhlen. In diesen Lakunen zahlreiche Osteoklasten mit 5-10 Kernen/Schnittebene. Parallel zur Spongiosaoberfläche erkennbare endostale Faservermehrung sowie vermehrt Fibroblasten.
Klinik
Adenom der Nebenschilddrüse mit primärem Hyperparathyreoidismus. Nephrolithiasis.
Kommentar
Gleiche Veränderungen besonders an der Kortikalis subperiostal erkennbar (radiologisch: Aufblätterung der Kortikalis z.B. der Finger). Bei unentkalkter Kunsttoffeinbettung zusätzlich Osteoidvermehrung als Antwort auf den vermehrten Abbau sichtbar (keine Mineralisationsstörung, sondern Ausdruck der Anbausteigerung!).
Bilder Typ
Histologie
Vergrösserung
50
Alter
61
Geschlecht
männlich
Datum
Ersteintrag: 30.12.2001
Update: 01.12.2008