PathoPic – image database / PathoPic ID 3283 - Normale Spongiosa

de
Diagnose
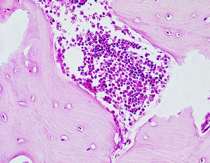
Normale Spongiosa
Diagnose Gruppe
Normalbefund
Topographie
Knochen, Wirbelsäule
Topographie Gruppe
Knochen, Knorpel, Gelenke
Beschreibung
Normale Spongiosa mit wenig Osteoblasten an der Bälkchenoberfläche. Innerhalb der Spongiosa sind Osteozyten in ihren Lakunen erkennbar. Auf diesem Bild sind keine Osteoklasten zu sehen, die sich normalerweise an der Knochenoberfläche befinden und in Einbuchtungen liegen (sog. Howship Lakunen).
Zusatzbefund
-
Bilder Typ
Histologie
Vergrösserung
200
Alter
50
Geschlecht
männlich
Datum
Ersteintrag: 25.03.2002