Pathopic
HiPaKu
ZyPaKu
PathoBasic
PathoBasic Cytology
Quizzes
Projektinfos
PathoPic - Projekt- und Copyright-Info
About
Pathopic
HiPaKu
ZyPaKu
PathoBasic
PathoBasic Cytology
Quizzes
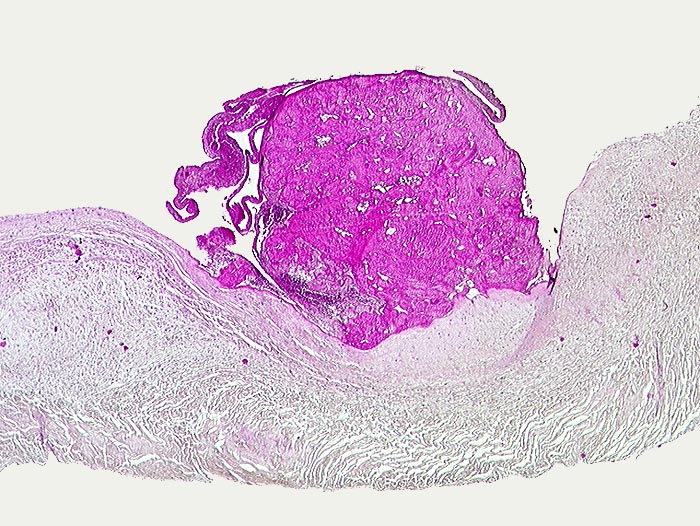
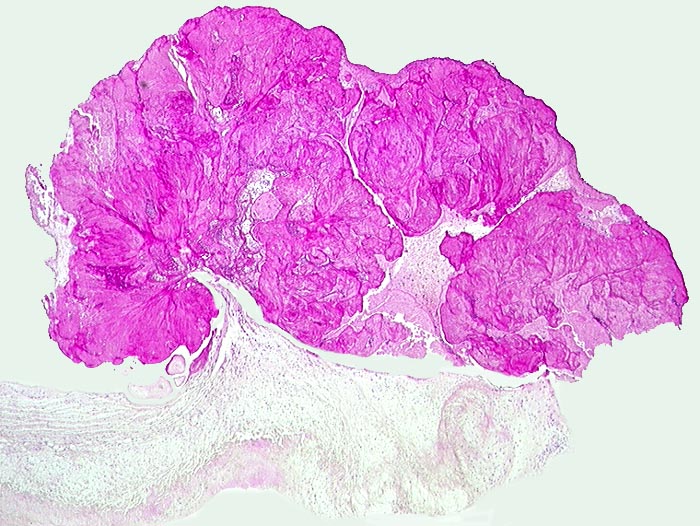
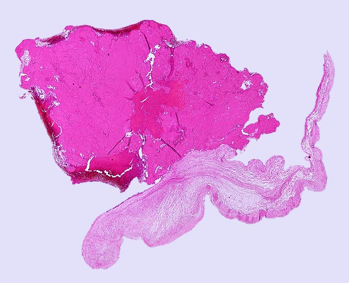
AP/ Thrombotische Endokarditis
Diagnose
Thrombotische Endokarditis
Diagnose Gruppe
vaskulär / Durchblutungsstörung
Differenzialdiagnose
Topographie Gruppe
Kardiovaskuläres System
Topographie
Herz
Einleitung
-
Klinik
-
Normalbefund
Morphologie
-
Makroskopie
Virtuelles Präparat
Befund
Pathologischer Befund
Normalbefund
Literatur
Datum
Ersteintrag: 11.02.2004
Update: 11.02.2004
CPS
·
©
2024 Institut für Pathologie Basel
/
Dr. med. Katharina Glatz-Krieger
.
·
v2.1