Pathopic
HiPaKu
ZyPaKu
PathoBasic
PathoBasic Cytology
Quizzes
Projektinfos
PathoPic - Projekt- und Copyright-Info
About
Pathopic
HiPaKu
ZyPaKu
PathoBasic
PathoBasic Cytology
Quizzes
PathoPic – image database
/
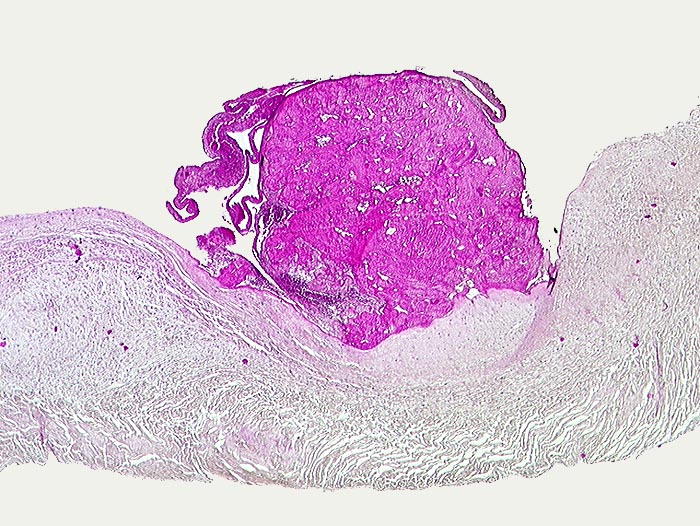
PathoPic ID 113 - Endocarditis marantica
de
Diagnose
Endocarditis marantica
Diagnose Gruppe
Entzündung / Reparatur
Topographie
Aortenklappe
Topographie Gruppe
Kardiovaskuläres System
Beschreibung
Knotenförmige Fibrinauflagerungen auf dem Klappengerüst.
Klinik
Metastasierendes Bronchuskarzinom.
Bilder Typ
Histologie
Alter
72
Geschlecht
männlich
Datum
Ersteintrag: 25.10.2001
CPS
·
©
2024 Institut für Pathologie Basel
/
Dr. med. Katharina Glatz-Krieger
.
·
v2.1