PathoPic – image database / PathoPic ID 2782 - Endokarditis marantica

de
Diagnose
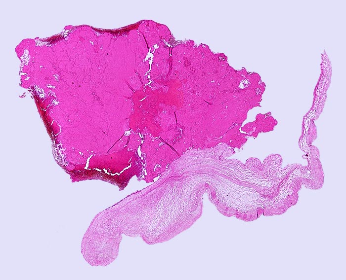
Endokarditis marantica
Diagnose Gruppe
Entzündung / Reparatur
Topographie
Aortenklappe
Topographie Gruppe
Kardiovaskuläres System
Beschreibung
Hämorrhagische Fibrinauflagerungen auf den Taschenklappen.
Zusatzbefund
Metastasierendes Magenkarzinom. Multiple anämische Organinfarkte: Multiple, teilweise konfluierende, Niereninfarkte beidseits. Frischer Milzinfarkt (Kantenlänge 4cm). Frische Encephalomalazie im Versorgungsgebiet der Arteria cerebri media rechts, sowie der Arteria posterior rechts. Kleine frische Rindeninfarkte im linken Mediagebiet
Bilder Typ
Histologie
Alter
64
Geschlecht
männlich
Datum
Ersteintrag: 18.03.2002