Pathopic
HiPaKu
ZyPaKu
PathoBasic
PathoBasic Cytology
Quizzes
Projektinfos
PathoPic - Projekt- und Copyright-Info
About
Pathopic
HiPaKu
ZyPaKu
PathoBasic
PathoBasic Cytology
Quizzes
AP/ Peutz-Jeghers Polyp, Dünndarm
Diagnose
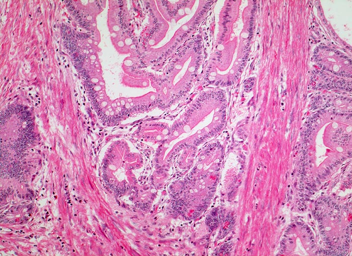
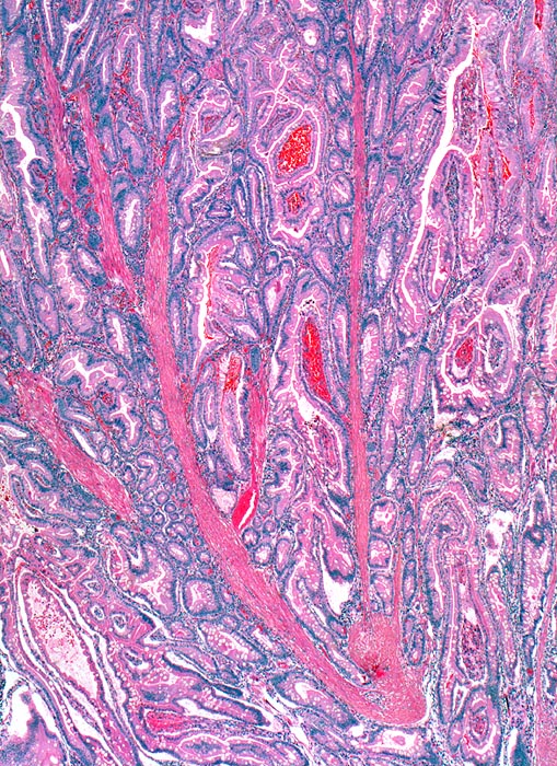
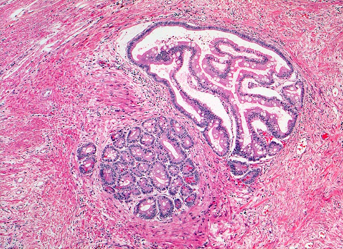
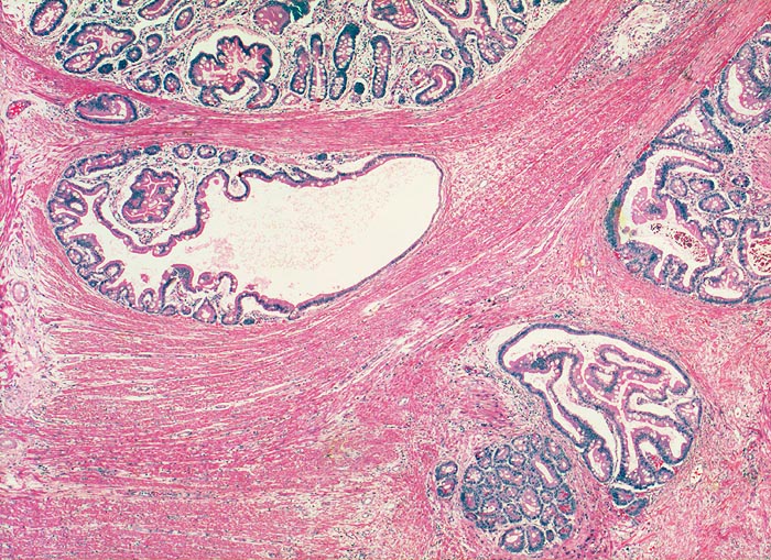
Peutz-Jeghers Polyp, Dünndarm
Diagnose Gruppe
angeboren /genetisch/Missbildung
Differenzialdiagnose
Topographie Gruppe
Darm, Anus
Topographie
Jejunum
Einleitung
-
Klinik
-
Normalbefund
Morphologie
-
Makroskopie
Virtuelles Präparat
Befund
Pathologischer Befund
Normalbefund
Literatur
Datum
Ersteintrag: 11.02.2004
Update: 11.02.2004
CPS
·
©
2024 Institut für Pathologie Basel
/
Dr. med. Katharina Glatz-Krieger
.
·
v2.1